Bệnh lý tim mạch gia tăng, rối loạn nhịp tim đặc biệt nguy hiểm
Ngày 6/12, báo điện tử VnExpress phối hợp Công ty Medtronic Việt Nam tổ chức buổi tọa đàm với chủ đề “Rối loạn nhịp tim: Hiểu đúng, phòng ngừa và điều trị hiệu quả”. Chương trình có sự tham gia của hai chuyên gia hàng đầu trong lĩnh vực tim mạch là TS.BS Phạm Trần Linh – Phó Chủ tịch Phân hội Nhịp tim Việt Nam và BS.CKII Kiều Ngọc Dũng – Trưởng khoa Điều trị Rối loạn Nhịp, Bệnh viện Chợ Rẫy.
Toạ đàm nhằm nâng cao nhận thức của cộng đồng về bệnh rối loạn nhịp tim, cập nhật các giải pháp điều trị tiên tiến như là máy tạo nhịp tim, máy khử rung tim. Đây là những thiết bị được đánh giá là bước tiến vượt bậc trong y học đã được áp dụng tại Việt Nam.

TS.BS Phạm Trần Linh – Phó Chủ tịch Phân hội Nhịp tim Việt Nam và BS.CKII Kiều Ngọc Dũng – Trưởng khoa Điều trị Rối loạn Nhịp, Bệnh viện Chợ Rẫy tham gia chương trình. (Ảnh: Thuỳ Dương)
Các chuyên gia cho biết, bệnh lý tim mạch hiện là nguyên nhân gây tử vong hàng đầu trên toàn cầu. Theo BS Linh, tại Việt Nam, mỗi năm có khoảng 200.000 người tử vong do các bệnh lý này, chiếm hơn 33% tổng số ca tử vong. Trong số các bệnh lý tim mạch, rối loạn nhịp tim đặc biệt nguy hiểm bởi có thể dẫn đến đột quỵ, suy tim và tử vong bất ngờ.
Rối loạn nhịp tim xảy ra khi hoạt động điện của tim bị rối loạn, khiến tim đập quá nhanh, quá chậm hoặc không đều. Đây là căn bệnh không phân biệt độ tuổi và có thể xuất hiện ở cả những người trẻ tuổi, thậm chí là vận động viên. TS.BS Phạm Trần Linh nhấn mạnh: “Rối loạn nhịp tim có thể âm thầm tiến triển nhưng khi bộc phát lại rất dữ dội, đe dọa tính mạng bất kỳ lúc nào.”
Theo hai chuyên gia, nguyên nhân của rối loạn nhịp tim bao gồm cả yếu tố bên ngoài và bên trong. Những thói quen không lành mạnh như hút thuốc lá, lạm dụng rượu bia, chế độ ăn nhiều chất béo, hoặc stress kéo dài có thể làm tăng nguy cơ mắc bệnh. Bên cạnh đó, các yếu tố nguy cơ khác là di truyền và bệnh lý nền như tăng huyết áp, tiểu đường.
Việc phát hiện và điều trị sớm rối loạn nhịp tim đóng vai trò quyết định để ngăn ngừa các biến chứng nguy hiểm. Tuy nhiên, theo BS.CKII Kiều Ngọc Dũng, bệnh nhân thường bỏ qua các triệu chứng ban đầu như hồi hộp, khó thở, đau ngực hoặc ngất xỉu.
Bác sĩ nhận định: “Nhiều trường hợp bệnh chỉ được phát hiện khi đo điện tâm đồ hoặc thực hiện theo dõi nhịp tim 24 giờ. Việc trì hoãn khám và điều trị có thể dẫn đến những hậu quả nghiêm trọng như đột quỵ hoặc tử vong.”
BS.CKII Kiều Ngọc Dũng cũng nhấn mạnh rằng, rối loạn nhịp tim không phải là bệnh chỉ xảy ra ở người cao tuổi. “Chúng ta thường thấy các vận động viên khỏe mạnh ngã quỵ trên sân bóng do đột tử tim. Điều này cho thấy không ai có thể chủ quan với bệnh lý này, bất kể tuổi tác hay lối sống.”

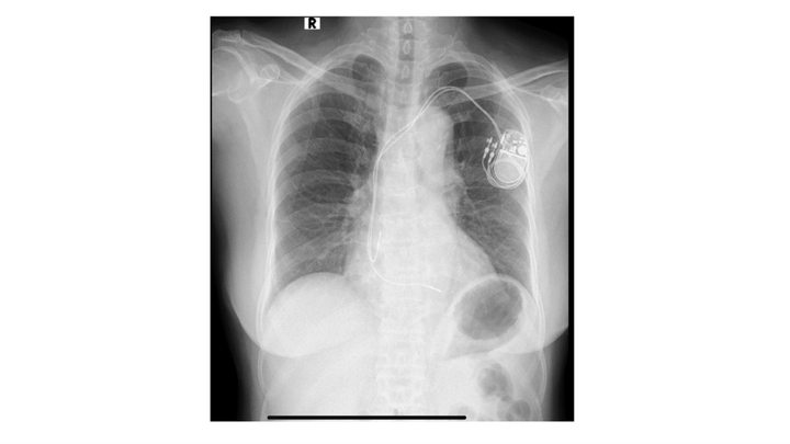
Hình ảnh một ca điều trị rối loạn nhịp tim hiệu quả bằng giải pháp ít xâm lấn cho bệnh nhân nữ 75 tuổi. (Ảnh: Thuỳ Dương)
Máy tạo nhịp tim và khử rung tim: Đột phá y học trong điều trị rối loạn nhịp tim
TS.BS Phạm Trần Linh cho biết, hiện nay y học có nhiều phương pháp tiên tiến để điều trị rối loạn nhịp tim. Có thể chia thành ba nhóm chính. Một là điều trị không dùng thuốc bằng cách xây dựng lối sống lành mạnh. Hai là điều trị bằng thuốc chống loạn nhịp tim phù hợp với tình trạng cụ thể như thuốc ức chế beta, thuốc chẹn kênh canxi hoặc thuốc chống đông máu trong trường hợp rung nhĩ để ngăn ngừa biến chứng đột quỵ.
Ba là can thiệp ít xâm lấn bằng cách triệt đốt bằng bóng áp lạnh; triệt đốt rung nhĩ giúp can thiệp tối thiểu, điều trị rung nhĩ và ngừng các cơn rối loạn nhịp tim; sử dụng máy tạo nhịp tim dành cho chứng bệnh nhịp tim chậm; máy khử rung tim tự động phù hợp với người có nguy cơ cao bị đột tử do loạn nhịp tim.
Trong đó, giải pháp tiên tiến nhất hiện nay là sử dụng máy tạo nhịp tim và máy khử rung tim. Đây là những thiết bị y học hiện đại, nhỏ gọn, mang lại hiệu quả vượt trội trong việc điều trị các rối loạn nhịp tim nghiêm trọng.
Máy tạo nhịp tim giúp điều chỉnh nhịp tim ổn định bằng cách gửi các xung điện đến các buồng tim. Tùy thuộc vào mức độ bệnh, bệnh nhân có thể được cấy máy tạo nhịp một buồng tim, hai buồng tim, hoặc máy tạo nhịp không dây. Với tuổi thọ từ 10 đến 15 năm, các thiết bị này đảm bảo người bệnh có thể duy trì cuộc sống bình thường mà không còn lo ngại các triệu chứng như ngất xỉu hay suy tim, khi hết tuổi thọ, bệnh nhân vẫn có thể được thay một máy mới.
Máy khử rung tim tự động, mặt khác, được thiết kế để ngăn ngừa đột tử do tim ngừng đập. Thiết bị này hoạt động bằng cách phát hiện các nhịp tim nguy hiểm và tạo ra một cú sốc điện nhằm khôi phục lại nhịp tim bình thường. Đây là giải pháp đặc biệt hiệu quả cho những bệnh nhân có nguy cơ cao bị đột tử do tim.
Theo các chuyên gia, hơn 100 cơ sở y tế trên toàn quốc đã áp dụng phương pháp điều trị bằng máy tạo nhịp tim và máy khử rung tim. Nhờ hệ thống bảo hiểm y tế tại Việt Nam, người bệnh có thể được chi trả từ 80 - 95% chi phí điều trị giúp dễ dàng tiếp cận với các phương pháp điều trị tiên tiến này.































