
Hơn 120.000 ca tử vong do ung thư/năm, gánh nặng lớn lên hệ thống y tế Việt
Việt Nam mỗi năm ghi nhận hơn 180.400 ca ung thư mới, trên 120.000 ca tử vong, khiến ung thư trở thành nguyên nhân tử vong sớm đứng thứ hai và là gánh nặng xã hội.

Việt Nam mỗi năm ghi nhận hơn 180.400 ca ung thư mới, trên 120.000 ca tử vong, khiến ung thư trở thành nguyên nhân tử vong sớm đứng thứ hai và là gánh nặng xã hội.

Nhiều người chủ quan khi những biểu hiện mệt mỏi, da sạm, chán ăn âm thầm xuất hiện, nhưng theo chuyên gia, đây có thể là tín hiệu sớm của ung thư gan.

Ung thư vú là bệnh lý phức tạp, chịu ảnh hưởng đồng thời từ môi trường sống, thói quen sinh hoạt, yếu tố di truyền, vậy ai cần xét nghiệm gene ung thư vú?

Pembroria – thuốc ung thư do Nga sản xuất vừa được cấp phép tại Việt Nam không phải là thuốc mới, mà là sinh phẩm tương tự thuốc gốc của Mỹ.

Bệnh suy giáp đang gia tăng nhanh, đặc biệt ở người sống tại thành thị do căng thẳng, thiếu vận động và chế độ ăn mất cân đối.

Đến Bệnh viện Bạch Mai khám vì đau chân, người đàn ông 66 tuổi bất ngờ được chẩn đoán ung thư biểu mô di căn hạch vùng cổ.

Giá thuốc ung thư tăng gấp 10 lần trong 20 năm qua khiến nhiều bệnh nhân rơi vào cảnh khánh kiệt, phải bỏ dở điều trị giữa chừng vì không đủ tiền mua thuốc.

Một tháng chịu đau ngực, ra mồ hôi trộm về đêm, cô gái 23 tuổi nghĩ do stress, đi khám mới biết mắc u lympho ác tính giai đoạn sớm.

Người đàn ông 50 tuổi không biết rằng chán ăn, chỉ muốn uống nước là tín hiệu kêu cứu khẩn thiết của cơ thể; khi ông đi khám thì bệnh ung thư đã ở giai đoạn cuối.

Bệnh nhân nam 72 tuổi phát hiện cùng lúc ba ung thư khác nhau nhưng vẫn được điều trị triệt để nhờ chiến lược đa phương pháp và hỗ trợ y tế hiện đại.

5 loại thức uống quen thuộc dưới đây mang lại nhiều lợi ích cho sức khỏe, sử dụng trà thường xuyên giúp bạn ngăn ngừa bệnh tim mạch, ung thư.

Chị Lan từng chiến thắng ung thư, nhưng ba năm sau vẫn giật mình giữa đêm vì lo sợ bệnh quay lại.

Nhiều loại thực phẩm thường gặp xung quanh chúng ta đều là "thần dược" chữa ung thư, dưới đây là 8 thực phẩm giết chết tế bào ung thư bạn nên ăn thường xuyên.

Nhiều bệnh nhân ung thư bất đắc dĩ phải dừng điều trị vì không kham nổi chi phí thuốc miễn dịch lên tới cả trăm triệu mỗi tháng, dù biết từ bỏ là đánh đổi mạng sống.

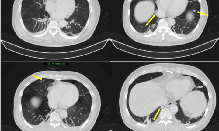
Trường hợp của một phụ nữ ở Hồ Nam (Trung Quốc) cho thấy ứng dụng trí tuệ nhân tạo (AI) có thể giúp phát hiện sớm ung thư phổi, tạo cơ hội điều trị hiệu quả.

Trước mỗi ca phẫu thuật ung thư, bác sĩ đều mang trăn trở giữa cơ hội sống cho bệnh nhân và những rủi ro khó lường.

Bệnh nhi 10 tuổi đau vùng đùi trái kéo dài, đi lại khó khăn, bác sĩ phát hiện mắc osteosarcoma - thể ung thư xương ác tính thường gặp ở tuổi thiếu niên.

Ban đầu chỉ là vết loét nhỏ nhưng vì chủ quan không đi khám, người đàn ông 60 tuổi ở Hà Giang phải cắt lưỡi và sàn miệng vì ung thư giai đoạn muộn.

Một bệnh nhân ung thư kiên quyết từ chối phẫu thuật vì xem đó là “án tử”, khiến bác sĩ phải dùng mọi cách thuyết phục để giành lại hy vọng sống.

Cặp vợ chồng 40 tuổi ở Bắc Giang mắc ung thư gan vì thói quen ăn trái cây hỏng, phần đã bị mốc hoặc dập nát khi buôn bán tại chợ.

Được chẩn đoán mắc ung thư xương, 6 tháng nay Linh liên tục nằm viện điều trị, bệnh tiến triển mỗi lúc một nặng, nguy cơ phải cắt chân để ngăn chặn di căn.

Bác sĩ phát hiện người đàn ông cùng lúc mắc ung thư thực quản và trực tràng – hai bệnh lý tiên lượng nặng nếu phát hiện muộn.

Người đàn ông 75 tuổi siết tay bác sĩ xin một mũi tiêm để không còn thức dậy, khoảnh khắc khiến bác sĩ Hà Hải Nam lặng người.

Dưa, cà muối là món ăn khoái khẩu của nhiều người Việt, nhưng nếu ăn sai cách hoặc muối trong vật dụng không an toàn, nguy cơ ung thư có thể rình rập.

Ba mẹ con cùng phát hiện mắc ung thư tuyến giáp do yếu tố di truyền, sau một lần khám sức khỏe định kỳ.

Bột giặt giả chứa các chất gây ung thư, làm ảnh hưởng nghiêm trọng đến sức khỏe người tiêu dùng.

Bệnh viện K đang có hơn 20.000 người bệnh đang điều trị nội trú, hệ thống máy xạ trị phải hoạt động 20-23 tiếng/ngày.

Ung thư phổi nếu được phát hiện từ giai đoạn sớm chỉ cần phẫu thuật, không cần xạ hay hóa trị, người bệnh có thể sống thêm nhiều năm.

Bị ung thư dạ dày giai đoạn muộn, sang Mỹ tìm hy vọng, chị Quyên bất ngờ được bác sĩ nước ngoài khuyên trở lại Việt Nam chữa trị.

Liệu pháp miễn dịch kết hợp công nghệ gene và AI mở ra bước đột phá trong điều trị ung thư cá thể hóa, giúp nhiều bệnh nhân nặng có cơ hội sống.