Thông tin từ Bệnh viện Bạch Mai, nam bệnh nhân nhập viện trong tình trạng tiểu khó kéo dài. Qua thăm khám và thực hiện các kỹ thuật cận lâm sàng như chụp cắt lớp vi tính, cộng hưởng từ, xạ hình xương và đặc biệt là PET/CT, các bác sĩ phát hiện tổn thương tại tuyến tiền liệt cùng nhiều khối u ở phổi, tuyến thượng thận và xương.
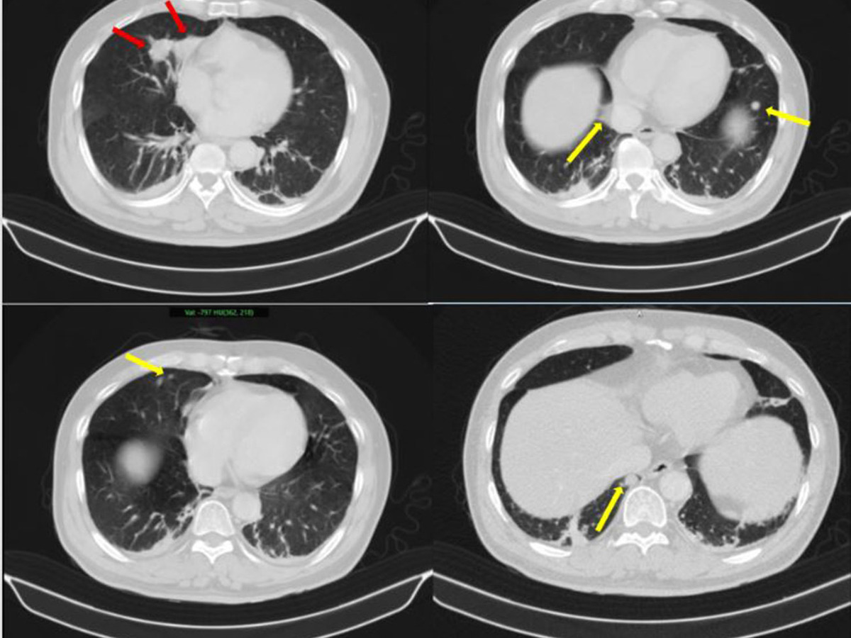
Những hình ảnh bất thường trên phổi của bệnh nhân (Ảnh: BV Bạch Mai)
Thách thức lớn nhất trong trường hợp này là xác định bản chất các tổn thương: đâu là khối u nguyên phát, đâu là di căn. Nếu chẩn đoán không chính xác, việc lựa chọn phương pháp điều trị có thể sai lệch, ảnh hưởng trực tiếp đến hiệu quả điều trị.
Kết quả sinh thiết và phân tích mô bệnh học kết hợp hóa mô miễn dịch giúp làm rõ: khối u phổi là ung thư biểu mô tuyến của phổi, trong khi khối u tuyến tiền liệt là ung thư biểu mô tuyến với điểm Gleason 9 - thuộc nhóm nguy cơ cao. Hai loại ung thư này có nguồn gốc hoàn toàn khác nhau, không phải di căn chéo.
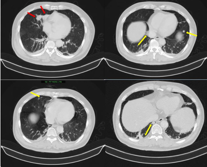
Hình ảnh dày tuyến thượng thận phải tạo nốt có kích thước 19 x 17 mm (Ảnh: BV Bạch Mai)
Sau khi hội chẩn chuyên môn, các bác sĩ xây dựng phác đồ điều trị phù hợp, ưu tiên kiểm soát bệnh toàn thân. Cụ thể, bệnh nhân được chỉ định hóa trị ung thư phổi bằng phác đồ Pemetrexed kết hợp Carboplatin, đồng thời điều trị nội tiết cho ung thư tuyến tiền liệt bằng Degarelix.
Sau 2-3 tháng điều trị, tình trạng bệnh nhân ổn định, các triệu chứng lâm sàng cải thiện, các chỉ số dấu ấn ung thư có xu hướng giảm, cho thấy đáp ứng điều trị bước đầu tích cực.
Các bác sĩ cho biết, việc phân biệt ung thư nguyên phát với tổn thương di căn vô cùng quan trọng, không chỉ giúp lựa chọn đúng phác đồ điều trị mà còn góp phần nâng cao hiệu quả điều trị và chất lượng sống cho người bệnh.
Các chuyên gia khuyến cáo, với sự phát triển của y học hiện đại, ngày càng ghi nhận nhiều trường hợp mắc đa ung thư nguyên phát. Do đó, việc thăm khám định kỳ, phát hiện sớm và phối hợp đa chuyên khoa trong chẩn đoán, điều trị là yếu tố then chốt giúp kiểm soát bệnh hiệu quả.















