Khám tiền hôn nhân đang trở thành bước chuẩn bị được nhiều cặp đôi trẻ lựa chọn trước khi lập gia đình. Không ít trường hợp nhờ khám tiền hôn nhân nên phát hiện những vấn đề sức khỏe tiềm ẩn, điển hình là cô gái 20 tuổi, ở Hà Nội được chẩn đoán viêm âm đạo đa tác nhân kèm dấu hiệu tiền ung thư cổ tử cung dù trước đó hoàn toàn không có triệu chứng.
Trước đó, sức khỏe của cô gái bình thường, không có biểu hiện bệnh phụ khoa, tiền sử gia đình cũng không ghi nhận ung thư cổ tử cung.
Qua thăm khám và thực hiện các xét nghiệm cần thiết, kết quả cho thấy bệnh nhân dương tính với nhiều tác nhân lây truyền qua đường tình dục gồm lậu, Chlamydia, Ureaplasma, Mycoplasma và nấm Candida. Đồng thời, xét nghiệm tầm soát ung thư cổ tử cung phát hiện nhiễm một trong 12 tuýp HPV nguy cơ cao.
Bệnh nhân được chẩn đoán viêm âm đạo đa tác nhân kèm nhiễm HPV nguy cơ cao và được chỉ định điều trị phối hợp nhằm kiểm soát đồng thời các tác nhân gây bệnh. Trong quá trình theo dõi sau điều trị, xét nghiệm CINtec phát hiện tế bào đồng biểu hiện p16/Ki-67, dấu hiệu gợi ý sự biến đổi bất thường của tế bào cổ tử cung. Đây là chỉ điểm sinh học có giá trị trong phát hiện sớm tổn thương tiền ung thư, đặc biệt ở người nhiễm HPV nguy cơ cao.

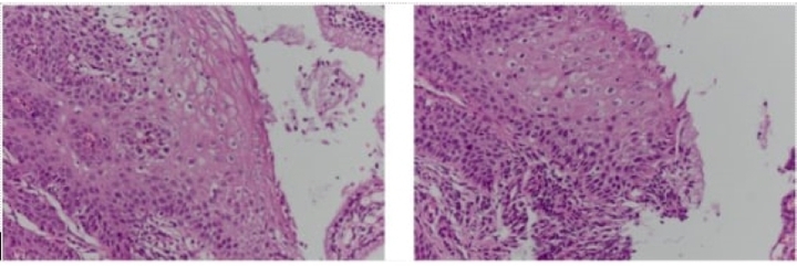
Tổn thương được phát hiện trên kết quả giải phẫu bệnh sinh thiết cổ tử cung.
Bệnh nhân tiếp tục được soi cổ tử cung. Bác sĩ ghi nhận vùng tổn thương nghi ngờ và tiến hành sinh thiết tại nhiều vị trí. Kết quả giải phẫu bệnh xác định tổn thương nội biểu mô vảy độ thấp (LSIL). Đây chưa phải ung thư nhưng là dấu hiệu cảnh báo tế bào cổ tử cung đã bắt đầu thay đổi bất thường dưới tác động của HPV.
Nhờ phát hiện sớm, bệnh nhân chưa rơi vào giai đoạn nguy hiểm và có thể kiểm soát bằng theo dõi định kỳ. Bác sĩ xây dựng kế hoạch quản lý lâu dài, bao gồm tái khám theo lịch, đánh giá lại tổn thương và theo dõi sự tiến triển của HPV.
Bác sĩ Trương Minh Nguyệt, chuyên khoa Sản, Bệnh viện Đa khoa Medlatec, trường hợp trên cho thấy nhiều bệnh phụ khoa và bệnh lây truyền qua đường tình dục có thể diễn tiến âm thầm. Nếu không khám tiền hôn nhân hoặc khám định kỳ, các bất thường dễ bị bỏ qua, làm tăng nguy cơ biến chứng.
Các tác nhân như Chlamydia, Mycoplasma hay lậu cầu có thể gây viêm nhiễm kéo dài, dẫn đến viêm vùng chậu, tắc vòi trứng, ảnh hưởng trực tiếp khả năng sinh sản. Trong khi đó, HPV nguy cơ cao là yếu tố hàng đầu liên quan đến ung thư cổ tử cung, một trong những ung thư phổ biến ở phụ nữ.
Điều đáng mừng là phần lớn tổn thương do HPV gây ra ở giai đoạn sớm như LSIL có thể kiểm soát nếu phát hiện kịp thời và theo dõi đúng cách. Tuy nhiên, nếu chủ quan và không tái khám định kỳ, tổn thương có thể tiến triển nặng hơn theo thời gian.
Từ ca bệnh này, bác sĩ khuyến cáo phụ nữ nên chủ động khám phụ khoa định kỳ ngay cả khi không có triệu chứng, thực hiện khám tiền hôn nhân để tầm soát toàn diện sức khỏe sinh sản, tầm soát HPV theo khuyến cáo. Khi phát hiện bệnh lây truyền qua đường tình dục cần điều trị đồng thời cho cả bạn tình và tuân thủ lịch tái khám để theo dõi diễn tiến bệnh.
Việc tầm soát sớm không chỉ giúp phát hiện bệnh ở giai đoạn đầu mà còn góp phần bảo vệ khả năng sinh sản và giảm nguy cơ ung thư trong tương lai.


















Bình luận