
Bất ngờ với cách thử thai thời cổ đại, phụ nữ chỉ cần đi tiểu trên nắm hạt lúa mỳ
Cách đây khoảng hơn 3000 năm, vào thời Ai Cập cổ đại, khi mà que thử thai chưa ra đời, phụ nữ sẽ thử thai bằng lúa.

Cách đây khoảng hơn 3000 năm, vào thời Ai Cập cổ đại, khi mà que thử thai chưa ra đời, phụ nữ sẽ thử thai bằng lúa.

Một nghiên cứu mới công bố của các nhà khoa học Đức cho thấy những bà mẹ bị căng thẳng trong thai kỳ nếu sinh con gái thì con có nguy cơ bị trầm cảm ngay từ khi 2 tuổi, trong khi đó sinh con trai thì các bé lại không bị ảnh hưởng

Trong 5 tháng đầu năm 2018, có 4.201 ca mắc bệnh quai bị tại khu vực phía Nam, giảm 11,3% so với cùng kỳ năm ngoái nhưng tăng 1,6 lần so với trung bình 5 năm từ 2013 - 2017.

93 phụ nữ mang thai chậm phát triển ở Hà Lan vừa được thử nghiệm thuốc kích dục Viagra nhằm kích thích máu lưu thông đến bào thai, tuy nhiên thảm họa xảy ra khi 17 trẻ sơ sinh mắc bệnh phổi, 11 trẻ thiệt mạng.

Ở tuổi 81, ông James Harrison - "người đàn ông có cánh tay vàng" hiến máu cứu 2,4 triệu trẻ em chính thức "về hưu" hôm 11/5 sau lần hiến máu cuối cùng trong suốt 60 năm qua.

Theo một nghiên cứu gần đây, chứng thiếu máu có thể gây nguy hiểm tới tính mạng của người mẹ trong thời kỳ mang thai.

Nhờ phương pháp phẫu thuật nội soi không cắt bỏ tử cung, Rachel Bainbridge sống ở Anh vẫn có thể mang thai.

Chervonne Magaoa phải mổ cấp cứu trước ngày sinh dự kiến 5 ngày và qua đời ngay sau khi hạ sinh thành công 3 đứa con bởi biến chứng nghiêm trọng sau phẫu thuật.

Các bác sĩ có thể dự đoán được sinh non sớm sau khi nghiên cứu cho thấy phụ nữ có 'đồng hồ miễn dịch' trong thai kỳ.

Thống kê cho thấy, có đến 32% người khuyết tật tại Việt Nam là do bẩm sinh.

Trong giai đoạn sốt xuất huyết lan rộng như hiện nay, các bà bầu cần hết sức thận trọng, bởi sốt xuất huyết trong thai kỳ có thể dẫn tới sảy thai, sinh non, thai nhẹ cân…

Thông tin từ Khoa truyền nhiễm Bệnh viện Bạch Mai, tỷ lệ phụ nữ mang thai mắc sốt xuất huyết chiếm khoảng 15-20% tổng số bệnh nhân điều trị nội trú tại khoa.

Các bác sĩ Khoa Truyền nhiễm phối hợp với Khoa Sản, BV Bạch Mai vừa cứu sống một phụ nữ mang thai 37 tuần bị sốt xuất huyết ngày thứ 4 trong tình trạng nguy kịch.

Nghiên cứu chỉ ra, chỉ một vài ly rượu khi mang thai cũng có thể làm thay đổi một số nét trên khuôn mặt của con bạn sau này.

Muỗi bị thu hút bởi mùi cơ thể nên những ai có nhiều mùi hôi, tỏa ra nhiều mùi cơ thể, nhất là mùi hôi chân sẽ có nguy cơ bị muỗi đốt nhiều hơn.

"Vì sao phụ nữ mang thai khiến người khác khó chịu?" là vấn đề được một người phụ nữ đặt ra thẳng thắn, khiến nhiều người phải suy ngẫm.

Một nghiên cứu mới đây cảnh báo rằng, phụ nữ mang thai nếu ăn một lượng lớn cam thảo có thể ảnh hưởng xấu tới sự phát triển não bộ của thai nhi.

Người phụ nữ đang mang thai nhưng vẫn mạo hiểm vận chuyển hàng loạt bánh pháo để bán kiếm lời.

Hình ảnh siêu âm cho thấy, chân của thai nhi 22 tuần tuổi đạp rách và phát triển bên ngoài tử cung bà mẹ người Pháp.

Thông thường, khi người phụ nữ đã mang bầu, cơ thể sẽ không xảy ra quá trình rụng trứng nữa, tuy nhiên, quy luật này đã bị phá vỡ khi một bà mẹ người Australia tiếp tục “dính bầu” sau khi thụ thai được 10 ngày.

Chiều 4/11, Phó Chủ tịch Ủy ban Nhân dân tỉnh Bình Dương đã ký quyết định về việc công bố dịch bệnh do virus Zika quy mô xã, phường trên địa bàn tỉnh Bình Dương.

Rằm tháng Tám đang đến gần, bánh trung thu là thực phẩm không thể thiếu trong mỗi gia đình, thế nhưng, không phải ai ăn cũng phù hợp với loại thực phẩm này.

Không chỉ là nguyên liệu chính của món nước thanh mát giải nhiệt mùa hè, quả sấu còn mang lại nhiều lợi ích sức khỏe, chữa được nhiều bệnh nhưng không phải ai cũng ăn được loại quả này.

Hôm 10/6 ứng viên Tổng thống Mỹ của đảng Cộng hòa – Donald Trump đã gửi đi thông điệp kêu gọi sự hòa hợp, đoàn kết giữa các sắc tộc ở Mỹ.

Nhóm cướp dùng hung khí dọa giết, trói người chồng lại, thay nhau hãm hiếm người vợ trẻ mang thai 3 tháng tuổi rồi cướp tài sản.

Mứt và bánh chưng là hai loại thức ăn phổ biến trong dịp Tết nhưng không phải ai cũng ăn được món này.

Từ khi biết vợ mình mang thai, Byron đã quyết định chụp hình vợ mỗi ngày tại cùng một vị trí để chờ đón “ngày trọng đại”.

Dưa hấu là một loại trái cây ngon giải nhiệt và bổ dưỡng, tuy nhiên lại ẩn chứa những tác dụng phụ đáng lo ngại.

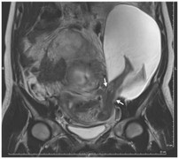
Các nghiên cứu gần đây báo cáo việc mang thai có thể là một yếu tố bảo vệ hiệu quả chống lại bệnh ung thư vú và buồng trứng.

Phụ nữ mang thai cần ăn nhiều và bổ dưỡng hơn nhưng nếu người mẹ chỉ bắt đầu chế độ ăn đặc biệt khi đã mang thai thì chưa đủ.