Theo Science Alert, hiện tượng thai phi phát triển bộ phận bên ngoài tử cung cực kỳ hiếm gặp. Đến nay y văn thế giới mới ghi nhận 26 trường hợp tương tự.
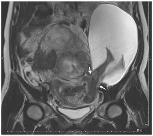
Kết quả chụp phim ở tuần thai thứ 22, một phần túi ối kích thước 19 x 12 x 9 cm bên trong cơ thể người phụ nữ 33 tuổi đã trượt qua lỗ ở thành tử cung. Kết quả, chân thai nhi đạp ra bên ngoài lớp bảo vệ vốn có.

Hình ảnh siêu âm cho thấy chân thai nhi nằm ở ngoài thành tử cung.
Đến tuần thứ 30, hình siêu âm cho thấy vết rách đã lớn hơn và thai nhi ngày càng ra ngoài tử cung. Tình hình nghiêm trọng buộc các bác sĩ phải ngay lập tức tiến hành mổ bắt con cho sản phụ. May mắn, em bé chào đời an toàn dù chỉ nặng 1,4 kg. 6 tháng sau ca sinh nở, hai mẹ con đều khỏe mạnh.
Các bác sĩ tin rằng trường hợp hy hữu trên xảy ra do đẻ mổ quá nhiều. Thông thường, thai phụ đẻ mổ 3-4 lần đối mặt với nguy cơ rách thành tử cung, còn người mẹ Pháp này đã 5 lần sinh mổ.













Bình luận