Đến viện trong tình trạng chóng mặt, đau đầu kèm tình trạng cổ to bất thường, người đàn ông 66 tuổi, quê Phú Thọ được các bác sĩ Trung tâm y tế huyện Thanh Sơn (tỉnh Phú Thọ) tư vấn thực hiện các xét nghiệm cận lâm sàng siêu âm tuyến giáp màu 4D và chụp CT - scanner sọ não.
Kết quả, tuyến giáp hai bên to, không đo được kích thước hai bên, nhu mô nhiều nhân hỗn hợp (dịch keo, xơ hoá, vôi hoá, thô, máu) tạo thành các khối (khối to 27mm, khối nhỏ 14-24mm), các khối xâm lấn ra vỏ và đè ép các bộ phận xung quanh, nhưng không thâm nhiễm phá vỡ vỏ.
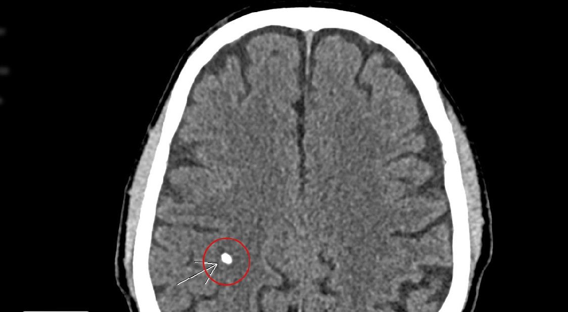
Nhu mô não có hình ảnh rải rác các di chứng ấu trùng sán não, kèm theo tổn thương viêm đa xoang, xơ vữa vôi hoá động mạch cảnh hai bên đoạn xoang hang.
Chuyên gia nhận định đây là trường hợp tuyến giáp to bất thường hiếm gặp, kèm theo di chứng sán não nên giải thích và tư vấn cho người bệnh lên tuyến trên điều trị kịp thời tránh những biến chứng xấu ảnh hưởng thêm tới sức khỏe.
Bác sĩ khuyến cáo, hormone tuyến giáp ảnh hưởng tới hầu hết các bộ phận trong cơ thể. Khi tuyến giáp xảy ra bất thường, cụ thể là tình trạng tăng hoặc giảm tiết hormone tuyến giáp quá mức có thể ảnh hưởng đến nhiều hoạt động và chức năng trong cơ thể.
Để phòng tránh nhiễm ký sinh trùng, mọi người cần ăn chín uống sôi, vệ sinh tay trước khi ăn. Người lớn, trẻ nhỏ cần tẩy giun định kỳ 6 tháng đến một năm một lần, không ăn tiết canh, thịt lợn tái, gỏi cá, rau củ quả sống phải rửa dưới vòi nước và ngâm nước sát khuẩn trước khi ăn. Khi thấy những dấu hiệu bất thường, bạn không nên tự đoán bệnh hoặc tự điều trị, thay vào đó hãy thăm khám tại các cơ sở y tế uy tín để được chẩn đoán và điều trị đúng theo phác đồ.


















Bình luận