
Chóng mặt, đau đầu, đi khám mới biết sán làm tổ trong não
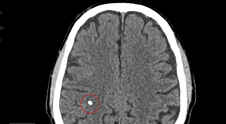
Chóng mặt, đau đầu, người đàn ông đi khám được bác sĩ kiểm tra phát hiện rải rác các di chứng ấu trùng sán não, kèm theo tổn thương viêm đa xoang.

Chóng mặt, đau đầu, người đàn ông đi khám được bác sĩ kiểm tra phát hiện rải rác các di chứng ấu trùng sán não, kèm theo tổn thương viêm đa xoang.

Do có thói quen hay ăn tiết canh, thịt chua nên dù sán đã làm tổ trong não thành ổ, nhưng người này không biết cho đến khi đau đầu nhiều gây liệt nửa người.