
Co giật vì sán làm tổ trong não, 'thủ phạm' là món ăn khoái khẩu của nhiều người
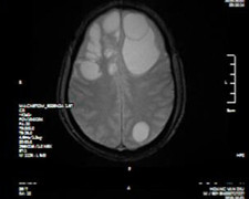
Não người đàn ông tổn thương sau nhiều năm có thói quen ăn tiết canh, thịt tái.

Não người đàn ông tổn thương sau nhiều năm có thói quen ăn tiết canh, thịt tái.

Sau cơn co giật, méo miệng, anh T đi khám và phát hiện sán làm tổ trong não.

Chóng mặt, đau đầu, người đàn ông đi khám được bác sĩ kiểm tra phát hiện rải rác các di chứng ấu trùng sán não, kèm theo tổn thương viêm đa xoang.

Đi khám vì bị đau bụng, tiểu buốt, người phụ nữ (50 tuổi, Phú Thọ) phát hiện bị sán ký sinh quanh người.

Đau đầu ngày càng tăng về cường độ, người đàn ông đi khám tâm thần, uống thuốc nhưng không khỏi, hóa ra anh bị sán làm tổ trong não.

Ổ sán khổng lồ cư trú trong não khiến người đàn ông ở Phú Thọ mất dần trí nhớ, phù não diện rộng, phải phẫu thuật khẩn cấp.