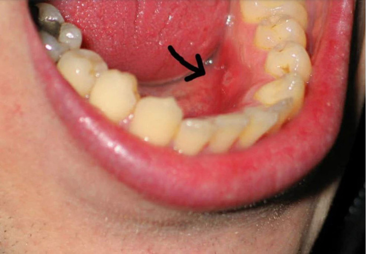
Ung thư khoang miệng: Dễ nhầm với nhiệt miệng
Theo bác sĩ Bệnh viện K, ung thư khoang miệng là bệnh ác tính có thể xuất hiện ở bất kỳ vị trí nào trong khoang miệng.
Ở giai đoạn sớm, ung thư khoang miệng thường không gây đau nhiều, thậm chí gần như không có biểu hiện rõ ràng. Người bệnh dễ bỏ qua vì các dấu hiệu rất giống với những vấn đề răng miệng thông thường.
Ung thư khoang miệng triệu chứng dễ nhầm với nhiệt miệng (Ảnh minh họa)
Một số triệu chứng dễ gặp nhưng dễ bị nhầm lẫn với nhiệt miệng gồm: Vết loét trong miệng kéo dài; mảng trắng hoặc đỏ bất thường trên niêm mạc miệng, lưỡi hoặc lợi; Đau âm ỉ hoặc rát nhẹ ở lưỡi, lợi, má trong; Chảy máu nhẹ không rõ nguyên nhân khi đánh răng hoặc ăn uống.
Khi bệnh tiến triển hơn, các dấu hiệu có thể rõ ràng hơn như: Khó nhai, khó nuốt, nói khó; Đau lan lên tai hoặc vùng hàm; Nổi hạch ở cổ; Sụt cân không rõ nguyên nhân.
Các bác sĩ lưu ý, điểm quan trọng nhất để phân biệt với bệnh lành tính là tính chất kéo dài và không đáp ứng với điều trị thông thường. Vì vậy, bất kỳ tổn thương nào trong khoang miệng tồn tại quá 2 - 3 tuần đều cần được kiểm tra chuyên khoa càng sớm càng tốt.
Lupus ban đỏ
Lupus ban đỏ hệ thống là bệnh tự miễn mạn tính, nổi tiếng trong y học với khả năng “giả dạng” nhiều bệnh khác nhau.
Ở giai đoạn đầu, người bệnh có thể chỉ gặp các biểu hiện rất chung chung như: Mệt mỏi kéo dài, sốt nhẹ, đau khớp thoáng qua, rụng tóc. Một số trường hợp có ban đỏ vùng má (hình cánh bướm), nhưng không phải ai cũng xuất hiện dấu hiệu này. Do triệu chứng rời rạc và không đặc hiệu, nhiều bệnh nhân phải mất thời gian dài mới được chẩn đoán chính xác.
Nếu không phát hiện kịp thời, lupus có thể gây tổn thương nghiêm trọng đến thận, tim, phổi và nhiều cơ quan khác.
Bệnh lao triệu chứng dễ nhầm với cảm cúm
Bệnh lao vẫn là bệnh truyền nhiễm phổ biến, song các triệu chứng ban đầu lại rất dễ bị nhầm với cảm cúm hoặc viêm đường hô hấp thông thường.
Người bệnh có thể chỉ xuất hiện ho nhẹ kéo dài, sốt về chiều, đổ mồ hôi ban đêm, mệt mỏi, chán ăn.
Bệnh lao triệu chứng dễ nhầm với cảm cúm (Ảnh minh họa)
Chính vì biểu hiện không rõ ràng, nhiều người tự điều trị tại nhà, làm chậm trễ việc phát hiện bệnh và tăng nguy cơ lây lan trong cộng đồng. Theo khuyến cáo, ho kéo dài trên 2 tuần là dấu hiệu cần đi khám để tầm soát lao.
Các chuyên gia nhấn mạnh, điểm chung của những căn bệnh trên là triệu chứng ban đầu không đặc hiệu, dễ khiến người bệnh chủ quan.
Người dân nên đi khám sớm khi có các dấu hiệu: Triệu chứng kéo dài không dứt sau 2 - 3 tuần; Mệt mỏi, sụt cân không rõ nguyên nhân; Ho dai dẳng hoặc tổn thương bất thường trên cơ thể; Các biểu hiện lặp đi lặp lại không rõ nguyên nhân.
Việc phát hiện bệnh ở giai đoạn sớm không chỉ giúp nâng cao hiệu quả điều trị mà còn giảm thiểu chi phí và nguy cơ biến chứng.

















