
Nuốt nhầm răng giả suốt 5 ngày mà không hay biết
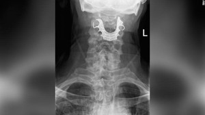
Người bệnh nuốt vướng, đau nhưng bệnh viện địa phương không phát hiện dị vật.

Người bệnh nuốt vướng, đau nhưng bệnh viện địa phương không phát hiện dị vật.

Ai trong đời mà chưa từng thử qua món xôi một vài lần, nhưng món xôi kèm "toping" độc lạ như cô gái dưới đây thì đúng là hiếm thấy.

Răng giả kẹt trong cổ họng cụ ông 72 tuổi trong quá trình phẫu thuật mà không bị phát hiện suốt 8 ngày.

Nhiều bác sĩ nha khoa lên tiếng cảnh báo về trào lưu gắn răng khểnh giả có thể nguy hiểm đến sức khỏe răng miệng.

Vô tình nuốt phải răng giả trong lúc sinh hoạt, bệnh nhân đau bụng ngày càng dữ dội nên đến bệnh viện kiểm tra thì phát hiện chiếc răng giả đã đâm thủng đại tràng sigma.

BVĐK tỉnh Bắc Giang tiếp nhận và điều trị rất nhiều trường hợp mắc dị vật nhập viện cấp cứu, đặc biệt như trường hợp xương cá cắm vào thành manh tràng, hay mới nhất là một bệnh nhận nuốt phải cầu răng giả.

Mới đây, các nhà nghiên cứu vừa phát hiện ra rằng những người đeo răng giả có nhiều nguy cơ bị suy dinh dưỡng.

Ngày 8/8, ThS.BS Nguyễn Quang Tú, Bệnh viện Tai mũi họng TP.HCM, cho biết, bệnh viện vừa cấp cứu, nội soi thanh khí quản lấy một phần của hàm răng giả mà anh L. T. Đ (39 tuổi, Q.8) bỏ quên gần hai năm.

Phát sinh cơn đau vùng thượng vị, một cụ bà 60 tuổi đến bệnh viện kiểm tra thì bất ngờ phát hiện dị vật là một hàm răng giả bên trong dạ dày.

Cách đây hàng ngàn năm, các bác sĩ và thợ thủ công đã biết cách tạo ra những bộ phận cơ thể người bị mất đi do chấn thương, phẫu thuật cắt bỏ hoặc bệnh tật.

Bà Nhàn (56 tuổi) vô ý nuốt chiếc răng giả vào bụng, bác sĩ bệnh viện tỉnh làm thủ thuật lấy dị vật thất bại và làm rách thanh quản bệnh nhân.

Những người có răng giả thì càng nên cẩn trọng khi ăn, nhất là răng giả đã dùng lâu ngày có thể bị mòn, bị lỏng chân, không bám chặt vào hàm và rơi ra rất nguy hiểm vì dễ lọt vào đường ăn và đường thở.

Cụ bà hạnh phúc thổi nến sinh nhật, vô tình “phóng thích” nguyên cả hàm răng giả khiến người xem cười nghiêng ngả.

Cái giá cho việc chạy theo các sao Hàn Quốc không phải là rẻ khi nhiều bạn trẻ ôm mặt nhập viện

Anh chàng này uống hết một thùng nước ngọt có ga mỗi ngày, và đến 25 tuổi đã "bay" cả hàm răng.

Một cụ ông người Singapore đã bị chết nghẹn sau khi nuốt phải răng giả.

Một hàm răng nhựa giả nằm ở đoạn cuối khí quản của anh L.V.M. (32 tuổi, TP Vũng Tàu) vừa được các bác sĩ của Bệnh viện Chợ Rẫy TP.HCM gắp ra khỏi đường thở,