Trong báo cáo đăng trên Tạp chí Y khoa Anh hôm 12/8, tác giả Harriet Cunniffe, bệnh viện James Paget ở miền đông nước Anh, kêu gọi hãy nhớ bỏ răng giả khỏi hàm bệnh nhân trước khi phẫu thuật.
Cunniffe nhắc tới một trường hợp bệnh nhân mắc kẹt răng giả trong cổ họng.
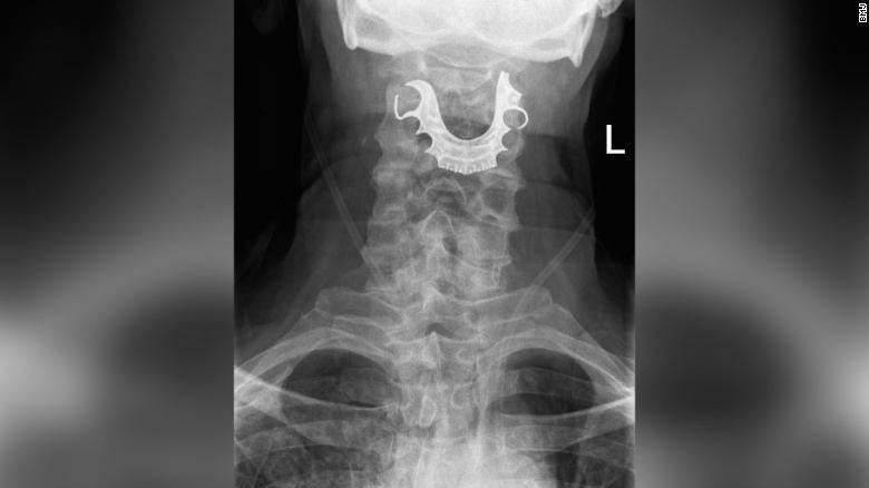
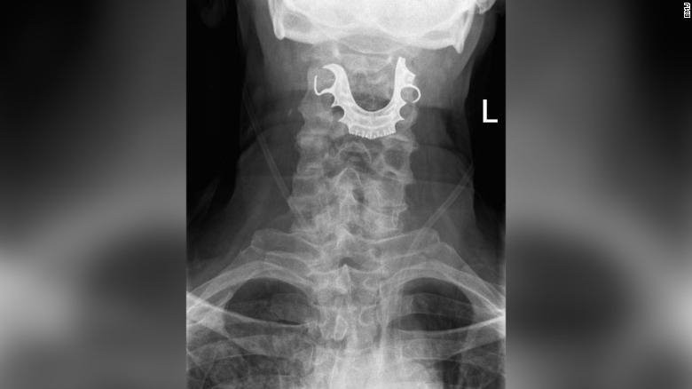
Cụ ông 72 tuổi đến viện phẫu thuật lấy khối u lành trong thành bụng, nhưng phẫu thuật viên quên lấy răng giả của cụ ra ngoài. 6 ngày sau, cụ ông tới viện, than phiền trong miệng có máu và khó thở, khó nuốt, không thể ăn thức ăn đặc.

Phim chụp hàm răng giả mắc kẹt trong cổ họng bệnh nhân người Anh. Ảnh: CNN.
Ban đầu, bác sĩ không chẩn đoán ra bệnh. Họ kê đơn thuốc súc miệng, kháng sinh và chống viêm. Hai ngày sau, bệnh nhân quay lại, triệu chứng xấu đi và phải nhập viện vì nghi ngờ viêm phổi do nhiễm trùng nghiêm trọng. Cuối cùng, bác sĩ phát hiện một vật thể hình bán nguyệt chèn ngang dây thanh quản của cụ, gây sưng tấy.
Cụ ông được phẫu thuật lấy răng giả và nằm viện thêm 6 ngày. Từ lần đầu quay lại khám, cụ đã nói với bác sĩ việc bị mất răng giả.
Tác giả Cunniffe cho hay "nước Anh không có quy định về việc xử lý răng giả trong quá trình gây mê, nhưng thường răng giả sẽ được lấy ra trước khi đặt ống nội khí quản" và "ngoài việc nhắc nhở chúng ta về rủi ro khi để lại răng giả trong quá trình gây mê, trường hợp này còn cho thấy chúng ta phải luôn lắng nghe bệnh nhân để chẩn đoán bệnh tốt hơn".












Bình luận