21 giờ ngày 15/4, người bệnh Phạm Đức Kiểm (74 tuổi, trú tại Vân Đồn – Đoan Hùng – Phú Thọ) chuyến đến Bệnh viện đa khoa tỉnh Phú Thọ với chẩn đoán: Sốc giảm thể tích do phình động mạch chủ bụng vỡ ở người bệnh cao tuổi, suy tim do hở nặng van động mạch chủ, tăng huyết áp, nguy cơ tử vong rất cao.
Ngay trong đêm, người bệnh được nhanh chóng chuyển đến phòng mổ cấp cứu tại Đơn vị phẫu thuật Tim mạch – Lồng ngực – Bệnh viện đa khoa tỉnh Phú Thọ và phẫu thuật thành công.
Trước khi vào viện, người bệnh không biết mình bị phình động mạch chủ bụng, chỉ thường xuyên khó thở khi đi lại nhiều. Người bệnh tự nhiên xuất hiện cơn đau âm ỉ vùng quanh rốn, tăng lên dữ dội và lan sang thắt lưng hai bên. Vào Trung tâm y tế huyện Đoan Hùng, người bệnh được xác định phình động mạch chủ bụng, huyết áp cao 210/100 mmHg, chuyển Bệnh viện đa khoa tỉnh Phú Thọ.
Người bệnh kể lại: “Khi vào bệnh viện tỉnh, người tôi hoảng hốt, khó thở, mệt nhiều, khát nước, da tái nhợt, chân tay lạnh ngắt, đau tức và chướng bụng, buồn đi ngoài mà không đi được”.

Khối phình động mạch chủ (ĐMC) và máu tụ lớn
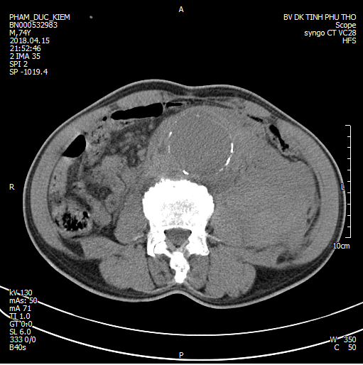
Người bệnh đã được hồi sức tích cực, duy trì huyết động và chụp cắt lớp vi tính 128 dãy, xác định phình động mạch chủ bụng ngay dưới phân chia động mạch thận, lan tới ngã 3 động mạch chủ - chậu, vỡ vào khoang sau phúc mạc, tụ máu lớn sau phúc mạc. Siêu âm tim xác định hở van động mạch chủ nhiều.
Bác sỹ Nội trú Hán Văn Hòa, Phó trưởng Đơn vị Phẫu thuật Tim mạch – Lồng ngực, trực tiếp phẫu thuật cho Người bệnh cho biết: “Đây là trường hợp ít gặp, người bệnh cao tuổi, bệnh van tim, suy tim, tăng huyết áp, vỡ phình mạch chủ bụng.
Người bệnh vào viện trong tình trạng sốc, ban đầu là sốc cương, tăng huyết áp, vật vã do đau, khi vào viện tỉnh chuyển sốc nhược, tri giác lơ mơ, tụt dần huyết áp, mạch nhanh, nhỏ, rối loạn đại, tiểu tiện, phần khối máu tụ sau phúc mạc kích thích trực tràng làm người bệnh buồn đi ngoài. Điều may mắn là khối phình vỡ sau phúc mạc nên người bệnh đến được bệnh viện”.

Thay đoạn ĐMC bằng mạch nhân tạo
Bác sỹ Hòa cho biết thêm: “Chúng tôi nhanh chóng đưa người bệnh vào phòng mổ, vừa cố gắng duy trì huyết áp đủ nuôi não, tim, thận vừa nhanh chóng gây mê, phẫu thuật. Khi lên phòng mổ, huyết áp tụt nhanh (huyết áp tối đa 50 – 60 mmHg, nguy cơ mất não, nhồi máu tim, suy thận rất cao nhất là khi khởi mê, giãn cơ, mạch, huyết áp tụt hơn nữa, phải duy trì 3 thuốc vận mạch liều cao”.

Ê kíp phẫu thuật
Xác định khối phình vẫn tiếp tục chảy máu, Bác sỹ Hòa cùng toàn bộ kíp phẫu thuật, gây mê, hồi sức trong mổ hết sức khẩn trương, nhịp nhàng để giữ được tính mạng người bệnh.

Ảnh dựng chụp bằng cắt lớp 128 dãy
Theo Bác sỹ Hòa, khối máu tụ quá lớn, biến đổi giải phẫu nhiều, việc tìm được động mạch chủ đoạn dưới động mạch thận là vô cùng khó khăn, nguy hiểm, khối phình và máu tụ rất lớn (khoảng 8 cm đập theo nhịp ngay dưới tay), vừa nhanh chóng tìm và kẹp được động mạch chủ, vừa không làm rách khối phình gây chảy máu dữ dội, vừa tránh kẹp trên động mạch thận gây suy thận. Bác sỹ cũng cho biết, tìm được trên động mạch thận cũng rất khó, cao, vướng nhiều thành phần quan trọng: tụy, mạch thân tạng, tá tràng… Sau 15 phút đã kẹp được động mạch chủ và có những lúc vừa phải ấn giữ vào tạm thời hạn chế chảy máu vừa phẫu tích.
Ca phẫu thuật bắt đầu vào 0h30 ngày 16/4/2018 và kết thúc hồi 7h20 cùng ngày. Sau hơn 7 tiếng, cùng với hệ thống trang thiết bị tiên tiến, sự cố gắng, và phối hợp nhịp nhàng, vừa duy trì huyết áp, truyền máu, hồi sức tích cự, vừa phẫu thuật khẩn trương, chính xác, ê kíp đã tiến hành phẫu thuật thành công.

Bác sỹ Hòa và người bệnh
Bác sỹ Hòa cũng nhấn mạnh, vấn đề hồi sức của người bệnh, đặc biệt trong 3 ngày đầu sau mổ rất quan trọng và khiều khó khăn, nhiều thay đổi về huyết động, chức năng tim, gan, thận xảy ra. Hồi sức cố gắng hạn chế truyền dịch do suy tim nhưng phải duy trì huyết áp đủ tưới máu cơ quan nhưng lại không nguy cơ chảy máu, bỏ dần vận mạch, đảm bảo dinh dưỡng trong khi nhịn ăn…Người bệnh được rút ống nội khí quản sau 1 ngày và rút dẫn lưu sau 4 ngày và ngày thứ 5, người bệnh ăn uống đi lại bình thường. Sau 10 ngày, người bệnh không sốt, vết mổ khô mạch thông tốt, đi lại bình thường và đủ điều kiện xuất viện.

Đội ngũ bác sỹ Đơn vị Phẫu thuật Tim mạch – Lồng ngực, Bệnh viện đa khoa tỉnh Phú Thọ
Trường hợp của người bệnh Kiểm chỉ là một trong số nhiều ca bệnh điển hình được thực hiện qua đôi tay của các bác sỹ có trình độ chuyên môn cùng hệ thống cơ sở vật chất, trang thiết bị hiện đại của Bệnh viện đa khoa tỉnh Phú Thọ. Đây là cơ hội để người dân có thể tiếp cận dịch vụ chăm sóc sức khỏe có chất lượng ngay tại tuyến dưới đồng thời giảm tải cho các bệnh viện tuyến Trung ương.













