
'Sát thủ' hàng đầu gây ung thư phổi
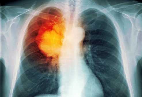
Ung thư phổi là căn bệnh nguy hiểm có tỷ lệ tử vong cao nhất trong các loại bệnh ung thư; theo các nhà khoa học và chuyên gia y tế, thuốc lá là nguyên nhân hàng đầu gây nên căn bệnh đáng sợ này.

Ung thư phổi là căn bệnh nguy hiểm có tỷ lệ tử vong cao nhất trong các loại bệnh ung thư; theo các nhà khoa học và chuyên gia y tế, thuốc lá là nguyên nhân hàng đầu gây nên căn bệnh đáng sợ này.

Trong thế kỷ này, nếu không có các biện pháp phòng chống tác hại thuốc lá, thì khói thuốc sẽ giết chết 1 tỷ người, thông tin từ chương trình phòng chống tác hại thuốc lá quốc gia cho hay.