Tuy nhiên, không phải ai cũng hiểu rõ tác hại của thuốc lá cũng như mối liên hệ giữa thuốc lá với căn bệnh ung thư phổi, để rồi nhiều người chủ quan, đến khi bệnh nặng thì đã muộn.
'Sát thủ' hàng đầu gây ung thư phổi
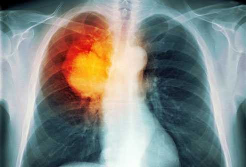
Ung thư phổi là căn bệnh nguy hiểm có tỷ lệ tử vong cao nhất trong các loại bệnh ung thư; theo các nhà khoa học và chuyên gia y tế, thuốc lá là nguyên nhân hàng đầu gây nên căn bệnh đáng sợ này.
- ung thư
- ung thư phổi
- thuốc lá gây ung thư phổi
- điều trị ung thư phổi
- nguyên nhân gây ung thư phổi
- chữa ung thư phổi
- hút thuốc gây ung thư phổi












Bình luận