
Xỉa răng sau khi ăn nguy hiểm hơn bạn nghĩ
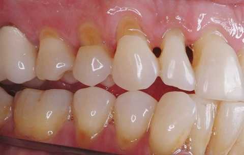
Mọi người thường có thói quen xỉa răng sau khi ăn để làm sạch răng miệng mà không biết rằng thói quen này vô tình tạo điều kiện cho vi khuẩn phát triển.

Mọi người thường có thói quen xỉa răng sau khi ăn để làm sạch răng miệng mà không biết rằng thói quen này vô tình tạo điều kiện cho vi khuẩn phát triển.