(VTC News) - Mọi người thường có thói quen xỉa răng sau khi ăn để làm sạch răng miệng mà không biết rằng thói quen này vô tình tạo điều kiện cho vi khuẩn phát triển.
Mối họa khôn lường từ thói quen xỉa răng
Xỉa răng là thói quen làm sạch răng miệng của rất nhiều người Việt Nam sau khi ăn. Tuy nhiên, không phải ai cũng biết rằng, hành động này có thể tạo điều kiện cho vi khuẩn phát triển.
Ngoài ra xỉa răng bằng những loại tăm không đúng kích cỡ còn có thể làm chảy máu chân răng, thưa răng và có thể gây bệnh.
Ngoài ra xỉa răng bằng những loại tăm không đúng kích cỡ còn có thể làm chảy máu chân răng, thưa răng và có thể gây bệnh.
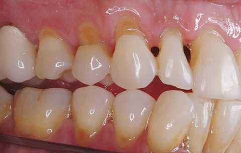
![]() |
| Thói quen dùng tăm xỉa răng là nguyên nhân chính khiến kẽ răng bị rộng hơn |
Theo Tiến sĩ y khoa Richard H. Price của Hiệp hội Nha khoa Hoa Kỳ, thói quen dùng tăm xỉa răng là nguyên nhân chính khiến kẽ răng bị rộng hơn, tình trạng tiêu xương diễn ra nhanh, thức ăn sẽ dễ bị lưu giữ lại đó, tạo điều kiện cho các vi khuẩn sinh sôi nhiều hơn và làm gia tăng nguy cơ mắc các bệnh răng miệng như sâu răng, viêm quanh chân răng, viêm nướu…
Các bệnh về răng tưởng chừng đơn giản, nhưng thực tế lại là nguyên nhân khiến bạn phải đối mặt với rất nhiều chứng bệnh về tim mạch, huyết áp, cũng như nguy cơ ung thư cao hơn bình thường…
Cách tốt nhất để loại bỏ những nguy cơ ảnh hưởng tới sức khỏe răng miệng là từ bỏ thói quen xỉa răng. Thay vào đó, nên sử dụng chỉ nha khoa để làm sạch kẽ răng.
Ưu điểm của chỉ nha khoa là làm sạch kẽ răng một cách triệt để. Hơn nữa, chỉ nha khoa được thiết kế với dạng sợi mềm nên khả năng gây ra những tổn thương cho răng miệng là không có hoặc rất hi hữu.
Ưu điểm của chỉ nha khoa là làm sạch kẽ răng một cách triệt để. Hơn nữa, chỉ nha khoa được thiết kế với dạng sợi mềm nên khả năng gây ra những tổn thương cho răng miệng là không có hoặc rất hi hữu.
![]() |
| Cách tốt nhất để loại bỏ những nguy cơ ảnh hưởng tới sức khỏe răng miệng là từ bỏ thói quen xấu xỉa răng |
Cách chăm sóc răng miệng tốt nhất
Trong trường hợp không thể bỏ được thói quen xỉa răng thì bạn có thể làm theo cách sau:
Khi ăn xong ở chỗ đông người, bạn có thể dùng tăm để khều nhẹ thức ăn dính răng, tuyệt đối không đẩy tăm sâu vào kẽ 2 răng làm tổn thương lợi. Nên sử dụng tăm có bao gói tiệt trùng.
Sử dụng chỉ nha khoa để lấy sạch thức ăn trong các kẽ răng ít nhất 1 lần 1 ngày trước khi đi ngủ
Đối với những bạn có răng khểnh, lệch lạc, dễ bị giắc thức ăn nên đem theo 1 cuộn chỉ nha khoa và sử dụng mỗi lần ăn xong, để tránh cảm giác căng tức, khó chịu vì bị nhét thức ăn trong kẽ răng.
Nên đánh răng khoảng 60 phút sau khi ăn. Bởi sau khi ăn xong, acid trong thực phẩm và đồ uống sẽ làm lớp men răng mềm đi, nếu bạn đánh răng ngay vào lúc này, men răng rất dễ bị thương tổn.
![]() |
| Nên đánh răng ít nhất 2 lần một ngày và không quá 3 lần. |
Đánh răng buổi sáng sớm cũng quan trọng không kém bởi việc này sẽ giúp bạn “dọn sạch” những gì vi khuẩn đã sản sinh ra trong một đêm. Các nhà khoa học nói rằng bạn nên đánh răng khoảng 1 giờ sau khi ăn sáng (chứ không phải là trước khi ăn sáng).
Sau khi dùng chỉ nha khoa và đánh răng, bạn nên súc miệng với nước súc miệng loại chuyên dụng để chống sâu răng và các bệnh viêm lợi. Bạn có thể súc miệng thường xuyên sau khi ăn hoặc uống bất cứ thức uống gì, đặc biệt trong trường hợp mà bạn không thể đánh răng ngay hoặc xỉa răng thì việc súc miệng lại càng cần thiết.
Điều cuối cùng là bạn nên để ý đến răng miệng của mình thường xuyên để phát hiện những vấn đề bất ngờ về răng miệng kịp thời. Điều này sẽ giúp giảm đau đớn, giảm chi phí và rút ngắn thời gian điều trị nếu răng bạn bị sâu hoặc có vấn đề khả nghi.
Video: Choáng váng xem 'người sắt' Ấn Độ nhấc người bằng răng
Thúy Nga(Tổng hợp)





Bình luận