
6 giờ sáng vẫn đi thể dục, sau 1 tiếng đau đầu đột ngột phát hiện tụ máu não
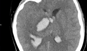
Chỉ với triệu chứng duy nhất là đau đầu, nam bệnh nhân 50 tuổi vẫn tỉnh táo, đi lại bình thường phát hiện tụ máu não kèm tràn máu não thất.

Chỉ với triệu chứng duy nhất là đau đầu, nam bệnh nhân 50 tuổi vẫn tỉnh táo, đi lại bình thường phát hiện tụ máu não kèm tràn máu não thất.

Người phụ nữ 55 tuổi ở Hà Nội bị sét đánh khi đang làm đồng, xuất huyết não nguy kịch, được các bác sĩ Bệnh viện Bạch Mai cứu sống.

Sau cơn đau đầu dữ dội, đột ngột, thiếu niên 15 tuổi nhanh chóng rơi vào tình trạng hôn mê sâu và tử vong.

Nam thanh niên có tiền sử tăng huyết áp nhưng tự ý bỏ uống thuốc, gần đây đau đầu dữ dội, huyết áp tăng cao, vào viện được chẩn đoán chảy máu não, nguy kịch.

Nhiều người bế chuyền tay nhau, cộng thêm việc rung lắc có thể là nguyên nhân khiến bé 4 tháng tuổi bị chảy máu não hôn mê sâu.

Bệnh viện TWQĐ 108 liên tiếp tiếp nhận các bệnh nhân tình trạng xuất huyết nội sọ nặng trên nền người bệnh bị sốt xuất huyết.

Bệnh nhân nữ rơi vào tình trạng nguy kịch, được các bác sĩ hai bệnh viện: Bạch Mai và Đa khoa Lào Cai phối hợp cấp cứu khỏi cơn nguy hiểm.

Đau đầu là một tình trạng rất hay gặp, tuy nhiên nếu cơn đau có những dấu hiệu bất thường và không còn là "chuyện thường ngày" nữa thì nhiều khả năng cơ thể bạn đang gặp phải những vấn đề nghiêm trọng.

Một bệnh nhân đã 'đặt chân vào cửa tử' vì hôn mê sâu do chảy máu dưới nhện, chảy máu toàn bộ hệ thống não thất và giãn não thất cấp đã được các bác sĩ Khoa A9, Bệnh viện Bạch Mai, Hà Nội cứu sống như một phép màu.

(VTC News) - Bệnh đột quỵ gây nguy cơ tử vong cao và để lại di chứng nặng nề. Vậy nguy cơ nào dễ gây ra đột quỵ? Và cách xử lý cần thiết là gì?

(VTC News) - Một ông bố trẻ đột ngột hôn mê sâu và qua đời ngay sau khi đón cậu con trai vừa mới chào đời ra khỏi phòng đẻ.

(VTC News) - Bên ngoài phòng điều trị nội trú khoa tiết niệu, người phụ nữ trẻ đứng bám chặt tay vào khung cửa sổ. Từng giọt nước mắt lăn dài trên má.