
Theo ông nội đi câu, 2 em nhỏ bị đuối nước
Bé gái được người dân đưa vào bệnh viện cấp cứu trong tình trạng thở yếu, kích động.

Bé gái được người dân đưa vào bệnh viện cấp cứu trong tình trạng thở yếu, kích động.

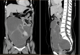
Khối u trong bụng chị A. chiếm hết 2/3 ổ bụng, chèn ép ruột, bọng đái lại dính vào ruột non, ruột già, tử cung, buồng trứng, vách chậu... khiến bác sĩ không khỏi đau đầu khi phẫu thuật.