Đó là trường hợp của chị A. (35 tuổi, ngụ TP.HCM). Bệnh nhân đến khám tại khoa Ung bướu, Bệnh viện (BV) quận Thủ Đức vì thấy bụng ngày càng lớn dần, kèm đau nhẹ, khó tiêu, đi tiểu nhiều lần.
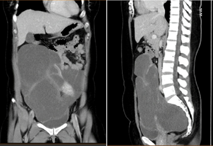
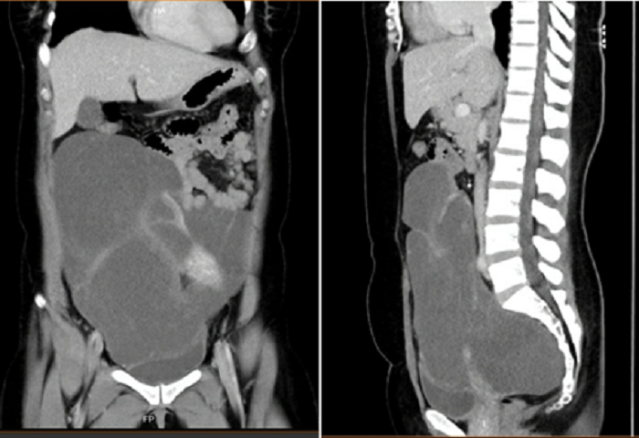
Qua thăm khám kết hợp với siêu âm, chụp CT, bác sĩ phát hiện chị A. có khối u rất lớn, chiếm hết 2/3 ổ bụng, chèn ép ruột, bọng đái, tử cung, buồng trứng, vách chậu và xương cùng lại len vào giữa xương cùng và trực tràng.
"Kích thước bướu là 20x30 cm, cân nặng 2,8 kg, mô bướu rất bở, dễ vỡ, len lỏi vào các cơ quan khác nên việc mổ cắt trọn u là việc rất phức tạp, khó khăn" - bác sĩ Nguyễn Triệu Vũ, Trưởng khoa Ung bướu, BV Quận Thủ Đức chia sẻ.

Ảnh chụp khối u mạch bạch của chị A.
Bằng sự tập trung cao độ, ekip điều trị đã tiến hành cắt hoàn toàn khối u, bảo vệ an toàn cho các cơ quan khác. Kết quả xét nghiệm cho thấy đây là khối u bạch mạch hiếm gặp, hình thành từ phát triển bất thường của hệ bạch huyết, thông thường u bạch mạch xuất hiện ở da, vùng đầu cổ, nách…
"Phần lớn khối u bạch mạch là lành tính và phát triển chậm, không gây triệu chứng, do đó có thể theo dõi không cần phẫu thuật. Khối u nằm sâu trong vùng chậu như trên là rất hiếm gặp" - bác sĩ Vũ phân tích.
Theo bác sĩ nếu khối bướu lớn, gây chèn ép, đau, nhiễm trùng thì cần phải phẫu thuật. Tuy nhiên do u thường mủn, giới hạn kém rõ bao gồm nhiều hốc, nang nhỏ nên nếu phẫu thuật không triệt để, khối u dễ tái phát.















Bình luận