
Người phụ nữ 35 tuổi mang khối u 2,8kg hiếm gặp
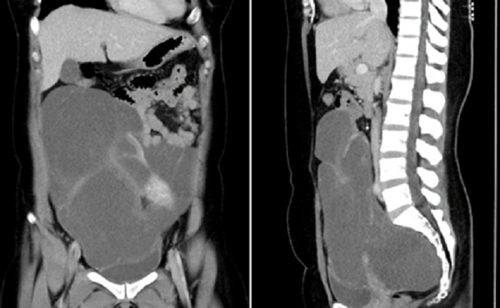
Khối u trong bụng chị A. chiếm hết 2/3 ổ bụng, chèn ép ruột, bọng đái lại dính vào ruột non, ruột già, tử cung, buồng trứng, vách chậu... khiến bác sĩ không khỏi đau đầu khi phẫu thuật.

Khối u trong bụng chị A. chiếm hết 2/3 ổ bụng, chèn ép ruột, bọng đái lại dính vào ruột non, ruột già, tử cung, buồng trứng, vách chậu... khiến bác sĩ không khỏi đau đầu khi phẫu thuật.