
Thai nhi 22 tuần tuổi đạp rách tử cung mẹ thò chân ra ngoài
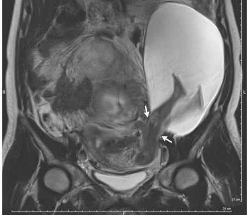
Hình ảnh siêu âm cho thấy, chân của thai nhi 22 tuần tuổi đạp rách và phát triển bên ngoài tử cung bà mẹ người Pháp.

Hình ảnh siêu âm cho thấy, chân của thai nhi 22 tuần tuổi đạp rách và phát triển bên ngoài tử cung bà mẹ người Pháp.

Mang thai là giai đoạn hết sức quan trọng đối với người mẹ và thai nhi, lúc này mọi dinh dưỡng cho mẹ cũng là cho bé, vì vậy chế độ ăn uống trong giai đoạn thai kì là vấn đề được các mẹ đặc biệt lưu tâm.

Sở Y tế TP.HCM cho biết sẽ mạnh tay xử lý những cơ sở y tế cung cấp giới tính thai nhi dẫn đến mất cân bằng giới tính.

Trang Sức khỏe tờ Sohu đã đưa ra những điều kiêng kị đối với những bà mẹ đang mang bầu trong mùa đông, có những điều mà chúng ta thấy bình thường nhưng khi mang bầu trong mùa đông mà vẫn tiếp tục tiến hành làm thì sẽ ảnh hưởng không nhỏ đến thai nhi trong bụng.

Chiều 12/12, ông Y Lâm Niê (Giám đốc Bệnh viện Đa khoa TP.Buôn Ma Thuột, tỉnh Đắk Lắk) có cuộc họp cùng các cơ quan báo chí về việc thai nhi tử vong trong khi sinh.

Để gặp được trứng, tinh trùng phải vượt qua quãng đường dài 18 cm, tương đương với một chàng trai cao 1,7 m bơi qua một cái hồ rộng 5 km.

Trứng sau khi rụng nếu gặp tinh trùng trong khoảng 12 đến 24 giờ có thể thụ tinh và trở thành hợp tử, sau đó phát triển thành thai nhi.

Thụ tinh nhân tạo là khái niệm không còn quá xa lạ với những cặp vợ chồng hiếm muộn, nhưng quy trình và sự phát triển của thai nhi ra sao lại là điều khá mới mẻ đối với nhiều người.

Đầu thai kỳ, cấu trúc bộ phận sinh dục bé trai và bé gái tương tự nhau, đến tuần thứ 9 mới bắt đầu quá trình biệt hóa thành cơ quan sinh dục nam hoặc nữ, theo Kidshealth.

Trước đây, các trường hợp phát hiện tinh trùng bất động hoàn toàn thường được khuyên xin “con giống”, nhưng nay, nhờ kỹ thuật hiện đại, các bác sĩ sẽ “bắt” được những con tinh trùng sống để đặt phôi, thụ tinh ống nghiệm, giúp những nam giới mắc bệnh lý này vẫn có thể được làm bố.

Được Bệnh viện Đa khoa huyện Yên Thành (Nghệ An) tiên lượng thai nhi khỏe mạnh và có thể sinh thường, nhưng sau khi đưa sản phụ Tr. lên bàn mổ thì thai nhi đã bị ngạt và tử vong sau đó.

Các bác sĩ được ca ngợi như anh hùng sau khi họ cứu sống một cậu bé sinh non 27 tuần tuổi.

Thứ trưởng Bộ Y tế Nguyễn Thanh Long thông báo, tình hình dịch bệnh do virus Zika vẫn diễn biến phức tạp, có khả năng bùng phát thành dịch lớn tại cộng đồng.

Virus Zika chỉ đáng ngại với phụ nữ có thai hoặc đang có dự định mang thai, trong bối cảnh dịch bùng phát như hiện nay, thai phụ cần làm gì để bảo vệ mình, việc chẩn đoán thai nhi được tiến hành như thế nào để phát hiện chứng đầu nhỏ?

Chưa kịp mừng khi thấy cơ thể xuất hiện các dấu hiệu có thai, chị Linh chết lặng khi biết mình bị ung thư nhau thai.

Các bác sỹ ở Bệnh viện Sản Nhi tỉnh Quảng Ninh vừa tiến hành cắt bỏ toàn bộ phần nang phổi bẩm sinh thành công cho bé sơ sinh 5 ngày tuổi.

Giai đoạn tuổi vị thành niên đang phát triển về tâm sinh lý, do đó khi mang thai ở lứa tuổi này, thể chất và tinh thần các em sẽ bị ảnh hưởng nghiêm trọng.

Sự tăng trưởng của thai nhi phụ thuộc rất nhiều vào chế độ ăn uống của mẹ, do vậy phụ nữ mang thai cần chú ý đến một số thực phẩm để tránh gây sẩy thai.

Cô Janine và chồng Ryan cùng các bác sỹ siêu âm ngỡ ngàng khi thấy hình ảnh đứa con chưa chào đời của mình giơ hai ngón tay hình chữ V trên màn hình.

Một đoạn video vừa được hãng tin Reuters của Anh đăng tải đã ghi lại được những giây phút “nhảy múa” của thai nhi 9 tháng tuổi.

Trong một nghiên cứu mới được công bố, các nhà khoa học tại Brazil đã cho biết đã tìm ra những tác động mới của virus Zika lên bào thai.

Việc kích thích vị giác, khứu giác cho thai nhi từ khi trong bụng mẹ đóng vai trò vô cùng quan trọng, giúp thai nhi phát triển tốt nhất về thể chất và trí tuệ.

Ngọn đồi nằm bên phía tả ngạn của sông Hương, cách TP Huế chừng 15km là nơi an táng của hơn 4 vạn thai nhi.

Một bà bầu đã ghi lại khoảnh khắc kỳ diệu trong những tháng cuối của thai kỳ cho thấy đứa con chưa chào đời “nhảy nhót” trong bụng mình.

Người phụ nữ mang bầu 8 tháng bất ngờ đổ xăng tự thiêu trong căn phòng trọ.

Nghĩa trang Đồi Cốc (Sóc Sơn, Hà Nội) hiện đang là nơi yên nghỉ của gần 80.000 hài nhi xấu số. Bà Nhiệm hơn 10 năm chôn cất các hài nhi ở Nghĩa trang Đồi Cốc.

(VTC News) - Nấc, khóc, cười, mút ngón tay... là những việc thai nhi thực hiện hàng ngày trong bụng mẹ.

Dây rốn quấn cổ (hay còn gọi là tràng hoa quấn cổ) là hiện tượng dây rốn quấn quanh cổ thai nhi một vòng hoặc nhiều vòng do bé thường xuyên cử động.

Nếu bạn đang dự định sinh con, hãy lựa chọn thời điểm tốt nhất trong năm để thụ thai, để bé sinh ra thông minh và khỏe mạnh nhất nhé.

Trái cây chứa hàm lượng vitamin và khoáng chất khá cao, đây là món không thể thiếu nếu mẹ bầu muốn có một chế độ dinh dưỡng lành mạnh trong suốt thai kỳ.