
Nữ diễn viên 29 tuổi qua đời vì ngã cầu thang
Nữ diễn viên nhạc kịch Park Soo Ryun - người từng đóng vai phụ trong phim ''Snowdrop" qua đời ở tuổi 29.

Nữ diễn viên nhạc kịch Park Soo Ryun - người từng đóng vai phụ trong phim ''Snowdrop" qua đời ở tuổi 29.

Bị ngã rạn xương cả hai tay do ngã cầu thang, diễn viên trẻ Quang Anh phải bó bột cả 2 tay.

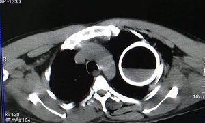
Bệnh nhân ngã cầu thang, bị một dị vật chưa xác định đâm vào vùng lõm xương đòn và mắc trong ngực, gây khó thở; sau khi chụp X quang và CT, các bác sĩ ngỡ ngàng khi thấy một vỏ chai thuỷ tinh còn nguyên vẹn trong lồng ngực bệnh nhân.

Cô gái trẻ đang bước xuống cầu thang thì bị gã côn đồ vô cớ tung chân đá vào lưng khiến cô ngã sấp mặt, sau đó hắn cùng đám bạn thản nhiên bỏ đi như không có chuyện gì.

Người phụ nữ 35 tuổi mải nhìn điện thoại khi đang xuống cầu thang nên hụt chân, chúi người lao xuống hơn 30 bậc thang, cuối cùng ngã lộn nhiều vòng.

(VTC News)- Người đàn bà này bị chó cưng ăn mắt và xương xung quanh hốc mắt sau khi bị ngã.