• Trang chủ

  • Xem nhiều

  • 16+

    Tin mới

  • Video

  • Chia sẻ

  • logo
  • Mới nhất
  • Xem nhiều
  • 💰 Giá vàng
  • 📅 Lịch âm
  • ☀️ Thời tiết
  • 🎟️ Xổ số
Báo điện tử VTC News - Đọc báo tin tức trong ngày hôm nay
  • Mới nhất
  • Xem nhiều
  • Bình luận nhiều
  • Hotline: 0855.911.911
  • RSS
    Liên hệ quảng cáo: 024 36321592

    kén phế quản

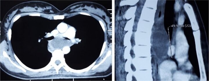
    Kỳ lạ: Người phụ nữ ‘có kén’ trong phế quản

    Kỳ lạ: Người phụ nữ ‘có kén’ trong phế quản

    Bệnh viện Trung ương Quân đội 108 vừa cấp cứu thành công một bệnh nhân bị kén phế quản khá hiếm.

    Được tài trợ

    Thông tin hữu ích

    Cập nhật nhanh các thông tin được quan tâm mỗi ngày

    • Lịch âm hôm nay
    • Dự báo thời tiết hôm nay
    • Giá vàng hôm nay
    • Giá xe ô tô
    • Giá xe máy
    • XSMN hôm nay
    • XSMB hôm nay
    • XSMT hôm nay
    • Vietlott hôm nay