
Đau đầu suốt 4 ngày không khỏi, đi khám mới biết mắc bệnh nguy hiểm, hiếm gặp
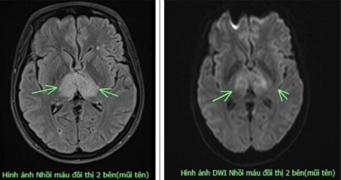
Đau đầu suốt 4 ngày không khỏi, người phụ nữ tự uống thuốc cũng không thuyên giảm, đi khám bất ngờ phát hiện mắc thể đột quỵ hiếm.

Đau đầu suốt 4 ngày không khỏi, người phụ nữ tự uống thuốc cũng không thuyên giảm, đi khám bất ngờ phát hiện mắc thể đột quỵ hiếm.

Những người từng tiêm vaccine AstraZeneca, không cần xét nghiệm D-dimer hay bất kỳ xét nghiệm đông máu nào khác.

Thảo, 20 tuổi bị mờ mắt, kèm đau nửa đầu, đi thăm khám mới phát hiện mắc bệnh hiếm gặp, không xử lý sớm có thể ảnh hưởng tính mạng.

Chàng trai 35 tuổi xuất hiện tình trạng đau, sưng chân, nghĩ do tập gym quá sức không thăm khám, đến khi nhập viện phải cưa chân vì hoại tử.

Ngoài các biến chứng hô hấp, người mắc COVID-19 cũng có nguy cơ phát triển các cục máu đông (huyết khối).