Bốn ngày trước, người phụ nữ, 38 tuổi, trú tại xã Sơn Hùng, huyện Thanh Sơn, tỉnh Phú Thọ đau đầu, tự uống thuốc tại nhà nhưng không đỡ, sau đó ý thức chậm hơn. Chị được gia đình đưa vào bệnh viện trong tình trạng ý thức chậm chạp, glasgow 13 điểm, tự thở, yếu tứ chi.
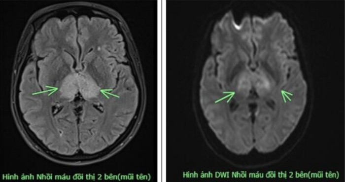
Người phụ nữ được các bác sĩ chỉ định chụp MRI, kết quả có hình ảnh nhồi máu não tại vị trí đồi thị 2 bên. Các bác sĩ hội chẩn và đặt ra nghi vấn về một bệnh lý khá hiếm gặp, bệnh lý huyết khối tĩnh mạch não. Người bệnh được chỉ định chụp MRI sọ não, xét nghiệm máu đông. Kết quả xác định đây là trường hợp huyết khối tĩnh mạch não.
Người bệnh điều trị theo phác đồ của huyết khối tĩnh mạch não. Dùng thuốc chống đông, tiến triển tốt sau điều trị, từ hôn mê glasgow 13 điểm, hiện tại tỉnh hoàn toàn, glassgow 15 điểm, cơ lực tay chân cải thiện, hiện có thể tự đi lại được.

Hình ảnh nhồi máu đội thị 2 bên. (Ảnh: BVCC)
Theo BSCKI Nguyễn Anh Minh, Trung tâm Đột qụy, Bệnh viện Đa khoa tỉnh Phú Thọ, huyết khối tĩnh mạch não là một loại đột quỵ trong đó huyết khối xảy ra ở phía tĩnh mạch của tuần hoàn não, dẫn đến tắc nghẽn một hoặc nhiều tĩnh mạch não và xoang tĩnh mạch màng cứng.
Huyết khối tĩnh mạch não có tỷ lệ mắc hàng năm dao động từ 1,16 đến 2,02 trên 100.000, với tỷ lệ nữ/nam tỷ lệ 3:1, tuổi trung bình là 37 tuổi, tỷ lệ mắc trên 65 tuổi chỉ chiếm khoảng 8%. Bệnh liên quan tới các yếu tố thoáng qua như thuốc tránh thai, mang thai, hậu sản, nhiễm trùng, các yếu tố vĩnh viễn gồm các bệnh lý đông máu bẩm sinh, các bệnh lý ác tính, tủy xương, hội chứng kháng phospholipid.
Tĩnh mạch não có nhiệm vụ dẫn lưu máu từ các thành phần của não về tim. Khi có huyết hối tĩnh mạch não hoặc xoang màng cứng sẽ cản trở sự thoát máu từ mô não, dẫn đến tổn thương nhu mô não (ví dụ như đột quỵ), làm tăng áp lực tĩnh mạch và mao mạch dẫn đến phá vỡ hàng rào máu não, gây ra tình trạng phù não, tăng áp lực nội sọ và xuất huyết tĩnh mạch (nhồi máu và xuất huyết kết hợp với nhau).
Biểu hiện của bệnh khá đa dạng, triệu chứng có thể gặp là đau đầu, co giật, tăng áp lực nội sọ (nhìn mờ, phù gai thị), liệt.
Huyết khối tĩnh mạch não là một bệnh lý nguy hiểm và ít gặp, chẩn đoán khó. Do vậy, việc chẩn đoán huyết khối tĩnh mạch não sớm khi người bệnh vào viện có ý nghĩa rất lớn đối với việc cấp cứu và điều trị huyết khối tĩnh mạch não giúp tăng khả năng phục hồi cho người bệnh.


















Bình luận