
Lạm dụng corticoid tự điều trị cúm, người phụ nữ viêm phổi, suy đa tạng
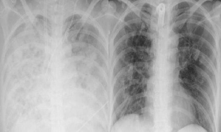
Các bác sĩ Bệnh viện Bạch Mai vừa cứu người phụ nữ bị viêm phổi bội nhiễm, suy đa tạng do lạm dụng corticoid tự điều trị cúm.

Các bác sĩ Bệnh viện Bạch Mai vừa cứu người phụ nữ bị viêm phổi bội nhiễm, suy đa tạng do lạm dụng corticoid tự điều trị cúm.

Ngày 3/1, các bác sĩ Bệnh viện Đa khoa Trung ương Cần Thơ cứu sống bệnh nhân sốt xuất huyết nặng viêm cơ tim, biến chứng ngưng tim-choáng tim nguy kịch.

Bệnh nhân người Bỉ bị sốt rét ác tính biến chứng suy đa tạng, đã được sử dụng thuốc chống sốt rét, truyền các chế phẩm máu và duy trì ECMO.

Mới đây, mạng xã hội chia sẻ câu chuyện một bé gái 5 tuổi ở TP.HCM tử vong sau vài ngày bị sốt, đau bụng, mệt

Bệnh nhân 40 tuổi được chẩn đoán mắc cúm A trên nền suy tủy, phải thở máy, phụ thuộc vào ECMO.

Gần 3 tháng các bác sĩ đã nỗ lực cứu chữa giúp nam bệnh nhân 28 tuổi nặng 140kg vượt qua tử thần.

Đại diện Sở Y tế TP.HCM cho biết, trong 38 người tử vong do COVID-19 ngày hôm nay (11/11) có đến 10 người đã tiêm 2 mũi vaccine.

Người thân của bệnh nhân COVID-19 rơi nước mắt khi hay tin không phải chi trả khoản phí điều trị lên tới hàng tỷ đồng, trong khi gia đình đang rất khó khăn.

Theo Trung tâm Kiểm soát bệnh tật TP.HCM (HCDC), trong ngày 4/10, TP.HCM tiêm vaccine COVID-19 cho 324.181 người, đến nay có 4.666.252 người được tiêm 2 mũi vaccine.

Bệnh nhân 48 tuổi xuất viện sau hơn một tháng được điều trị tại Bệnh viện Thanh Nhàn, đây là ca bệnh duy nhất trong đợt dịch thứ 4 tại Hà Nội cần can thiệp ECMO.

Trong 1 giờ đồng hồ, các bác sĩ, chuyên gia của Bệnh viện Quân Y 175 đã cải tiến máy ECMO cho chị H. sử dụng chung với bệnh nhân khác, nhờ vậy chị thoát cửa tử.

Lãnh đạo Bệnh viện Phổi Đà Nẵng thông tin tình hình sức khỏe của BN1536 mắc COVID-19 nặng, từ Mỹ về, đang được điều trị tại đây.

Các chuyên gia đánh giá tình trạng bệnh nhân 418 mắc COVID-19 đang nặng thêm, có khả năng phải can thiệp ECMO.