Đó là bệnh nhân nữ 37 tuổi ở Hà Nội, bị nhiễm cúm từ 27/10 với biểu hiện sốt, ngứa họng, ho, chảy nước mũi, đau mỏi toàn thân. Chị tự điều trị hạ sốt và corticoid (medrol 16mg/ngày). Ba ngày sau tình trạng không cải thiện, sốt cao kéo dài kèm khó thở nhiều, phải thở oxy sau đó thở máy.
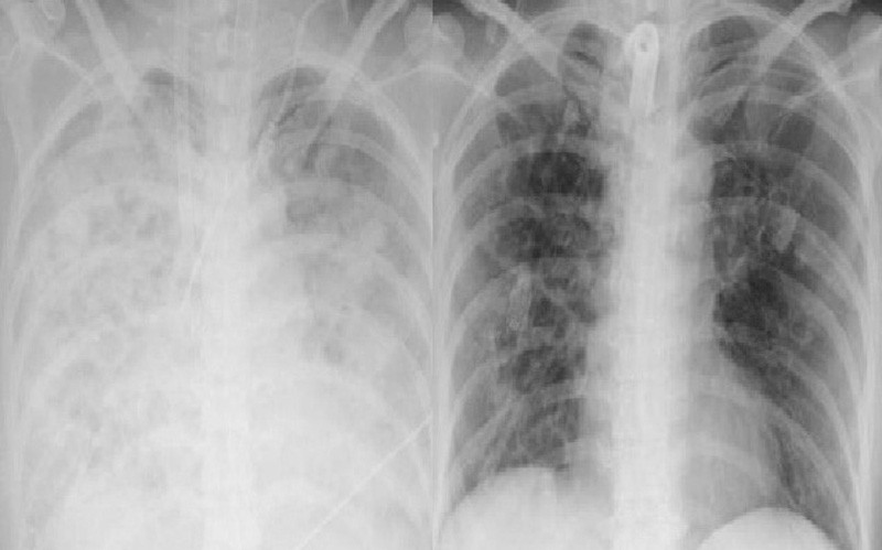
Là bác sĩ trực tiếp điều trị cho bệnh nhân, ThS.BS Nguyễn Bá Cường - Trung tâm Hồi sức tích cực, Bệnh viện Bạch Mai chia sẻ, khi vào trung tâm, tình trạng bệnh nhân rất nặng nề, sốt cao liên tục, sốc nhiễm khuẩn nặng, oxy máu giảm rất thấp, X-quang phổi mờ trắng xóa cả 2 bên phế trường, test nhanh cúm B dương tính.
Tại Trung tâm Hồi sức tích cực - Bệnh viện Bạch Mai, bệnh nhân được điều trị kháng sinh, kháng virus, thở máy và lọc máu hấp phụ. Soi phế quản có hình ảnh nhiều giả mạc lấp kín lòng phế quản 2 bên. Xét nghiệm PCR dịch phế quản cho thấy cúm B kèm bội nhiễm tụ cầu vàng.

Bệnh nhân ngừng ECMO và thở máy sau 50 ngày.
Theo bác sĩ Nguyễn Bá Cường, triệu chứng giảm bạch cầu rất hay gặp ở bệnh nhân nhiễm virus, đặc biệt là nhiễm cúm và sốt xuất huyết (2 dịch bệnh đang lưu hành rộng rãi ở Việt Nam) làm giảm sức đề kháng của cơ thể.
Corticoid là thuốc chống viêm nhưng có tác dụng phụ là giảm sức chống đỡ của cơ thể. Việc lạm dụng thuốc này ở các bệnh nhân nhiễm virus làm tăng nguy cơ bội nhiễm đặc biệt là các vi khuẩn kháng thuốc.
Bệnh nhân sau đó không đáp ứng với điều trị hồi sức, phải can thiệp ECMO cấp cứu. Trong 37 ngày chạy ECMO, gần 50 ngày thở máy với oxy liều cao, do suy giảm khả năng đề kháng nên bệnh nhân rất dễ nhạy cảm với các vi sinh vật trong bệnh viện và phải điều trị nhiều đợt kháng sinh, kháng nấm. Các bác sĩ phải nhiều lần hội chẩn trong khoa và liên khoa để kịp thời đưa ra phác đồ điều trị thích hợp cho từng diễn biến của bệnh.
Sau hơn 2 tháng nằm điều trị hồi sức tích cực, bệnh nhân được ra viện, nhưng các tổn thương phổi sau đó có thể sẽ còn tồn tại và cần phải theo dõi trong thời gian dài.
Bác sĩ Nguyễn Bá Cường khuyến cáo, việc lạm dụng corticoid diễn ra thường xuyên ở Việt Nam trong điều trị nhiễm cúm và các bệnh xương khớp (được trộn lẫn trong các thành phần thuốc cổ truyền không rõ nguồn gốc). Thuốc phải được dùng đúng chỉ định và liều lượng. Hành động dùng bừa bãi làm suy giảm khả năng đề kháng và rất dễ bội nhiễm vi khuẩn.
Khi có vấn đề liên quan đến sức khỏe, người dân nên đi khám bác sĩ và sử dụng thuốc đúng theo chỉ định. Không được tự ý mua và sử dụng thuốc hoặc mua theo đơn cũ, theo lời mách bảo của người thân, người quen vì hậu quả sẽ là khôn lường.






Bình luận