• Trang chủ

  • Xem nhiều

  • 4+

    Tin mới

  • Video

  • Chia sẻ

  • logo
  • Mới nhất
  • Xem nhiều
  • 💰 Giá vàng
  • 📅 Lịch âm
  • ☀️ Thời tiết
  • 🎟️ Xổ số
Báo điện tử VTC News - Đọc báo tin tức trong ngày hôm nay
  • Mới nhất
  • Xem nhiều
  • Bình luận nhiều
  • Hotline: 0855.911.911
  • RSS
    Liên hệ quảng cáo: 024 36321592

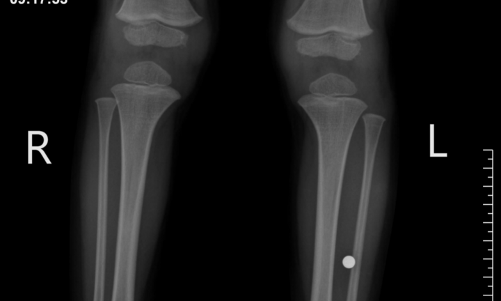
    dị vật trong chân bé trai 3 tuổi

    Hoảng loạn khi phát hiện viên bi đồ chơi trong chân bé trai 3 tuổi

    Hoảng loạn khi phát hiện viên bi đồ chơi trong chân bé trai 3 tuổi

    Viên bi có đường kính 5mm nằm sâu trong cẳng chân của một bệnh nhi 3 tuổi tại Phú Thọ.

    Được tài trợ

    Thông tin hữu ích

    Cập nhật nhanh các thông tin được quan tâm mỗi ngày

    • Lịch âm hôm nay
    • Dự báo thời tiết hôm nay
    • Giá vàng hôm nay
    • Giá xe ô tô
    • Giá xe máy
    • XSMN hôm nay
    • XSMB hôm nay
    • XSMT hôm nay
    • Vietlott hôm nay