
ChatGPT phát hiện bệnh ung thư cho cô gái 27 tuổi
Cô gái người Pháp chia sẻ những triệu chứng của mình với ChatGPT, tưởng đó chỉ là buồn lo do mất cha, không ngờ AI phát hiện ra cô mắc ung thư máu.

Cô gái người Pháp chia sẻ những triệu chứng của mình với ChatGPT, tưởng đó chỉ là buồn lo do mất cha, không ngờ AI phát hiện ra cô mắc ung thư máu.

Một phụ nữ đến từ Saransk, Nga, từng khiến thế giới xôn xao trước hoài nghi rằng khả năng siêu nhiên có thật sự tồn tại.

Dù đã nghỉ hưu tại cơ sở y tế tuyến đầu, “cây đại thụ” ngành Chẩn đoán hình ảnh vẫn muốn thử sức ở đơn vị y tế tư nhân với khao khát vì sức khỏe người dân cả nước.

Các nhà khoa học ở Anh đưa ra một loại xét nghiệm sàng lọc máu có thể chẩn đoán ung thư và đánh giá đã lây lan hay chưa.

Phù mạch di truyền là loại rối loạn di truyền hiếm gặp gây nên các đợt tái phát sưng tấy, phù cục bộ ở các bộ phận khác nhau.

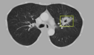
Nhóm nghiên cứu tại Đại học Khoa học và Công nghệ Hà Nội thiết kế hệ thống AI đọc kết quả phim chụp chỉ 5-10 giây, trong khi bác sĩ cần 5-10 phút.

Bác sĩ chẩn đoán thai chết lưu vừa bị Trung tâm Y tế thị xã Hương Thuỷ (Thừa Thiên - Huế) tạm đình chỉ công việc chẩn đoán hình ảnh, chuyển đi đào tạo thêm về lĩnh vực chuyên môn.

Hai bác sĩ bất ngờ đưa ra 2 quan điểm trái ngược nhau khi trả lời câu hỏi có nên xét nghiệm máu khi bạn không có dấu hiệu bị bệnh?

Một bệnh viện ở Bắc Ai Len đã bắt đầu sử dụng một thử nghiệm mới nhanh chóng cho bệnh viêm màng não, để tăng tốc độ chẩn đoán, giúp cứu sống người bệnh.

Các bác sĩ Bệnh viện Hữu Nghị Việt Đức vừa cứu sống một bệnh nhân bị chấn thương eo động mạch chủ hiếm gặp...

Theo một nghiên cứu gần đây, các bệnh nhân ung thư tuyến tụy nếu được chẩn đoán và phẫu thuật sớm có thể tăng tỷ lệ thành công lên một phần ba.

Nhiều khi chỉ một vết xước nhỏ thôi mà do chủ quan, không được chăm sóc đúng cách cũng có thể dẫn đến hoại tử.

Một thanh niên 27 tuổi vừa phải phẫu thuật cắt bỏ chân phải sau tai nạn được chẩn đoán là bong gân tại Bệnh viện Chấn thương chỉnh hình TP.HCM.

Tình huống trớ trêu tưởng như đùa này lại là một câu chuyện có thật xảy ra ở quốc gia có nền y học phát triển bậc nhất thế giới: Mỹ.

Ngày 27/3, công tố viên Đức cho biết, cơ phó chuyến bay 4U 9525 Andreas Lubitz đã giấu diếm bệnh tật của mình.

(VTC News) - Hội thi tay nghề dịch vụ của Ford VN cập nhật mẫu xe mới nhất, đồng thời yêu cầu kỹ thuật viên phải có kỹ năng chẩn đoán đúng "bệnh" ngay lần đầu.

Rất nhiều trẻ tử vong nhưng không xác định được nguyên nhân.

(VTC News) - Xét nghiệm có vai trò đặc biệt quan trọng, là căn cứ đầu tiên để đưa ra những chẩn đoán ban đầu về bệnh tật.

Những hình ảnh cuối cùng của 1 bệnh nhân mắc bệnh ung thư tinh hoàn cho thấy nỗi đau đớn cùng cực mà anh phải trải qua dù ở độ tuổi còn rất trẻ.

(VTC News) – Trung tâm điều phối Quốc gia về ghép bộ phận cơ thể người phối hợp Bệnh viện Thanh Nhàn tổ chức tập huấn Chẩn đoán, hồi sức bệnh nhân chết não.

(VTC News) - Một sản phụ đã qua đời 3 ngày sau khi bác sĩ chẩn đoán nhầm dấu hiệu chửa ngoài tử cung với bệnh dạ dày.

Bác sĩ, kỹ thuật viên cắt ghép, tráo, đổi phim với những thủ thuật gian lận nhằm móc túi người bệnh, để mỗi tháng thu lợi riêng hàng trăm triệu đồng.

(VTC News) - Người mẹ đã vô cùng phẫn nộ các bác sĩ chẩn đoán con trai mình bị táo bón khi cậu bé có khối u to bằng quả bóng chày trong dạ dày.

Khi bệnh nhân bị đau bụng dữ dội, người nhà đem đến khám tại Phòng khám Nội khoa Tổng quát, bác sĩ đã siêu âm chẩn đoán nhầm bệnh đau ruột thừa thành đau dạ dày

Thiếu niên 16 tuổi (Bình Phước) bị cắt bỏ "hộp chứa tinh binh" vì bệnh xoắn tinh hoàn. Trước đó, bệnh nhân nghĩ mình mắc quai bị nên đến thầy lang điều trị.

(VTC News)- Một bà mẹ 4 con đã phải chấp nhận cái chết một cách oan uổng sau khi trải qua 30 cuộc chẩn đoán… nhầm từ các bệnh viện.

(VTC News)- Nhờ chú chó kiên nhẫn khịt mũi vào ngực trái của bà chủ mà căn bệnh ung thư vú của người phụ nữ này đã được phát hiện sớm.