TS Trần Giang Sơn là Chủ nhiệm đề tài phát triển hệ thống dựa trên dữ liệu từ ảnh chụp cắt lớp vi tính thực tế, cho máy học và nhận biết bằng công nghệ trí tuệ nhân tạo (AI) kết hợp nền tảng tính toán hiệu năng cao.
Trong nghiên cứu này, nhóm đi sâu tìm hiểu về ung thư phổi không tế bào nhỏ, là loại ung thư phổi thường xảy ra nhất tại Việt Nam. Sau khi thu thập hình ảnh chụp cắt lớp vi tính phổi của người bệnh từ bộ dữ liệu mở của Viện Ung thư Quốc gia Mỹ, Quỹ Viện Y tế Quốc gia Mỹ (với hơn 240.000 trường hợp từ 1.300 nghiên cứu khác nhau, mỗi trường hợp bao gồm hình ảnh chụp cắt lớp do bác sĩ đã đánh giá độc lập, tệp ghi lại kết quả phát hiện và chẩn đoán các nốt sần, khối u phổi) và Bệnh viện K Trung ương, nhóm đã phân loại hình ảnh nốt mờ phổi, khối u phổi dán nhãn để hệ thống nhận dạng và đánh giá.

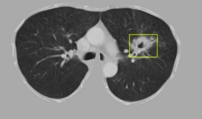
Khối u phổi được hệ thống định vị trong 5-10 giây.
Thông qua thuật toán, hệ thống có khả năng phát hiện vị trí, kích thước khối u phổi trên ảnh chụp cắt lớp, phân loại thành công khối u là lành tính hay ác tính. Hệ thống cũng khoanh vùng sớm điểm tổn thương nghi vấn trên ảnh để các bác sĩ có thể tập trung, nâng cao chất lượng chẩn đoán. Dựa vào tiêu chí đánh giá của ngành y tế, cả độ nhạy và độ đặc hiệu, hệ thống đều đạt trên 96%.
TS Sơn cho biết: "Không phải nốt mờ phổi nào cũng là khối u ác tính (chỉ khoảng 20% là ác tính), việc phát hiện và phân loại bằng hệ thống chẩn đoán, giúp phát hiện sớm ung thư phổi. Hệ thống không chỉ giúp giảm tải cho bác sĩ ở các bệnh viện tuyến trung ương mà còn hỗ trợ các bác sĩ ở tuyến tỉnh, vùng sâu, vùng xa chẩn đoán bệnh chính xác và hiệu quả hơn". Hiện nhóm đang nghiên cứu các kỹ thuật phân chia thể tích lá phổi để loại bỏ các khu vực bên ngoài phổi, giúp tăng độ chính xác trong phát hiện, phân loại khối u.
"Nhóm sẽ tiếp tục kết hợp với bệnh viện K để xây dựng bộ dữ liệu ảnh cắt lớp vi tính mẫu về ung thư phổi ở Việt Nam, đánh giá và tiến hành chẩn đoán thử nghiệm trên người bệnh cụ thể", TS Sơn nói.
Tại Việt Nam, trong năm 2018, ung thư phổi chiếm vị trí số 2 cả về số ca mắc mới (23.667 ca, chiếm 14,4% tổng số ca mới) và tử vong (20.710 ca, chiếm 18,0% tổng số ca tử vong). Ung thư phổi chia làm hai dạng chính là ung thư phổi tế bào nhỏ, chiếm 15% và ung thư phổi không tế bào nhỏ, chiếm 85%.
Nghiên cứu được đăng trên trên hai tạp chí quốc tế thuộc danh mục SCIE Journal of Healthcare Engineering và Journal of Real-Time Image Processing.















Bình luận