Margaret Boemer, một bà mẹ mang thai tuần 16 bỗng phát hiện ra rằng, đứa con trong bụng mình đang gặp phải vấn đề nghiêm trọng. “Từ kết quả scan, các bác sỹ thông báo với tôi rằng, con của tôi bị một khối u ác tính ở vùng xương cụt,” Boemer nhớ lại.

Cô bé này đã được sinh ra hai lần theo đúng nghĩa đen
“Khối u này thường gặp phải ở các em bé mới sinh,” Tiến sỹ Darrell Cass, giám đốc của Trung tâm Trẻ em và Thai nhi Texas, đồng thời là người phẫu thuật cho chị Boemer cho biết. Mặc dù vậy, trường hợp mắc phải u ác tính ở vùng xương cụt vẫn khá hiếm, với tỷ lệ 1/35.000 ca sinh.
“Trong một số trường hợp, bào thai có thể phát triển và sinh ra cùng khối u. Y học sẽ can thiệp, cắt bỏ nó sau khi đứa bé được sinh ra,” tiến sỹ Cass nói. “Nhưng phần lớn thời gian, khối u sẽ gây ra những vấn đề tiêu cực cho bào thai.”
Khối u phát triển nhờ lấy máu từ các mạch máu của bào thai, nhưng cùng lúc đó, bào thai cũng phát triển; vì vậy, đây trở thành một “cuộc chiến hai bên”. “Nếu khối u thắng, tim của bào thai không thể hoạt động nữa và em bé sẽ chết trước khi được sinh ra.”

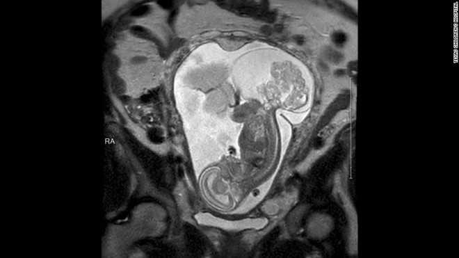
Khối u của bào thai có thể nhìn thấy trong tấm ảnh scan
Đây cũng là viễn cảnh mà chị Boemer và cô con gái chưa sinh LynLee phải đối mặt. Trong khi một số bác sỹ khuyên chị từ bỏ đứa bé, thì Tiến sỹ Cass lại đưa ra một lời khuyên táo bạo: phẫu thuật bào thai.
Tất nhiên, đây không hề là một sự lựa chọn dễ dàng. “Lynlee không có nhiều cơ hội,” chị Boemer kể. “Vào tuần 23, khối u đã ảnh hưởng trực tiếp lên hoạt động của tim cô bé khiến các biện pháp trợ tim không còn tác dụng. Vì vậy, chúng tôi đứng trước sự lựa chọn, để khối u lấy đi tính mạng Lynlee hoặc cho cô bé một cơ hội được sống.”
Điều thần kỳ trong mọi điều thần kỳ
Thời điểm Tiến sỹ Cass tiến hành phẫu thuật bào thai, chị Boemer đang mang thai ở tuần 23 và 5 ngày. Lúc này, khối u gần như lớn hơn cả bào thai.
Ca phẫu thuật diễn ra trong khoảng 5 tiếng. “Những gì liên quan đến bào thai được tiến hành rất nhanh,” Tiến sỹ Cass nhớ lại. “Hầu hết thời gian, chúng tôi tập trung vào phần tử cung của người mẹ.”
Tuy nhiên, trong trường hợp này, do khối u quá lớn, vì vậy để có thể cắt bỏ nó hoàn toàn, các bác sỹ phải nhấc em bé ra khỏi bụng mẹ cùng toàn bộ túi ối.

LynLee và mẹ sau khi sinh ra
Trong quá trình phẫu thuật, có thời điểm tim của LynLee “gần như ngừng đập”. May mắn là kinh nghiệm và chuyên môn vững vàng của một chuyên gia về tim trong đội mổ, đã giúp nhịp tim cô bé ổn định trở lại để ca phẫu thuật có thể tiếp tục.
Sau khi cắt bỏ khối u, các bác sỹ đặt LynLee lại vào tử cung của người mẹ và tiến hành khâu lại. “Thật kỳ diệu vì bạn có thể mở tử cung, sau đó, khâu lại như cũ và mọi chuyện đều thành công,” Tiến sỹ Cass tự hào nói.
Nỗi đau hoàn toàn xứng đáng
Ca phẫu thuật kết thúc, chị Boemer phải nằm trên giường trong suốt thời gian còn lại của thai kỳ. Sau 12 tuần, LynLeen được chính thức chào đời “lần thứ hai” - lần này là sau một ca mổ thông thường - nặng gần 2,5kg.
Những kiểm tra sau khi sinh cho thấy, cô bé có tình trạng sức khỏe ổn định. Vì vậy, 8 ngày tuổi, LynLee đã đủ khả năng để “kinh qua” một cuộc phẫu thuật nữa, để cắt bỏ hoàn toàn phần còn lại của khối u mà trước đây các bác sỹ không thể làm được khi cô còn là một bào thai.

LynLee và hai chị của mình
Ca mổ thành công tốt đẹp, và LynLee được đoàn tụ với hai chị của mình vài tuần sau đó. Hiện tại, sức khỏe của cô bé rất tốt, Tiến sỹ Cass cho biết. LynLee không phải là trường hợp bào thai gặp u quái tại xương cụt đầu tiên mà ông gặp phải.
Trước đó, Cass cũng từng cứu sống thành công một bé gái nhờ phương pháp phẫu thuật tương tự. “Cô bé đó bây giờ chắc khoảng 7 tuổi, và có thể hát karaoke rất hay – cô bé hoàn toàn bình thường,” vị Tiến sỹ cho biết.
Video: Người phụ nữ 62 tuổi vẫn sinh con 20 năm sau khi mãn kinh













Bình luận