"Loài giun này có thể di chuyển trong não người - rất hiếm sinh vật có thể làm dc điều này" - Bác sĩ Effrossyni Gkrania-Klotsas, người chuyên nghiên cứu ký sinh trùng cho biết. Ông đã từng theo dõi bệnh án của một người đàn ông và phát hiện có giun trong não của người đó. Đây được cho là ca dính giun đầu tiên tại Vương quốc Anh.
![]() |
| Cận cảnh loài giun sán làm tổ trong não người |
Người bệnh này đến từ Trung Quốc và đã nhập viện vài ngày sau khi trở lại từ chyến trở về thăm quê hương mình cùng với Hàn Quốc, Nhật Bản và Thái Lan. Tại các quốc gia này, tồn tại một loại ký sinh trùng có tên khoa học là Spirometra Erinaceieuropaei.
4 năm về trước bệnh nhân này cũng phải đến gặp bác sĩ sau khi bị đau đầu quá nặng và được đội ngũ y tế ở bệnh viện Addenbrookes, Cambridge, Vương quốc Anh chữa khỏi.
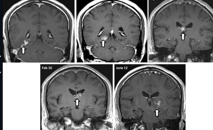
![]() |
| Loài giun này di chuyển trong não người đàn ông trong theo các mốc thời gian |
"Khi anh ta trở lại, anh ta gặp phải những triệu chứng mới" - Bác sĩ Gkrania-Klotsas nói về bệnh nhân của mình. Có thể lý giải rằng, con giun đã di chuyển sang một vùng khác của não bộ, khiến cho việc vận động các chi của người đàn ông kém dần đi. Hội chứng này gọi là Sparganosis (bị ảnh hưởng từ ký sinh trùng).
![]() |
| Hình dạng của con giun dài 2m |
Như vậy, bệnh nhân cần chữa trị ngay và tất nhiên là chưa thể có thuốc đặc trị. Các bác sĩ đã quyết định sử dụng phương pháp phẫu thuật trực tiếp để loại bỏ loài ký sinh trùng khỏi não bộ của người đàn ông này.
Từ năm 1953 đến 2013, trên thế giới có khoảng 300 vũ lây nhiễm ký sinh trùng dạng Spirometra như thế này. Các bệnh nhân chủ yếu sống hoặc có đi qua châu Á - nơi được cho là vùng sinh sống của loài giun ''ăn não''.
May mắn cho bệnh nhân là, trình tự ADN của gen cho thấy, con vật ký sinh thuộc loại lành tính hơn trong số 2 loại sán sparganosis đã biết. Tuy nhiên, các nhà nghiên cứu sốc nặng về kích cỡ bộ gen của nó.
Con giun cũng được phát hiện sở hữu một bộ sưu tập lớn các cơ vận động phân tử nhằm dịch chuyển các protein xung quanh tế bào của nó, có thể hậu thuẫn những thay đổi lớn về hình dạng cơ thể và sự thích nghi môi trường mà giun trải qua trong vòng đời phức tạp của nó.
Bộ gen của Spirometra erinaceieuropaei hóa ra dài tới 1.26Gb, hơn gấp 10 lần so với bộ gen của các loài khác và bằng 1/3 kích thước bộ gen của người. Các chuyên gia nghi ngờ, một phần của điều này bắt nguồn từ sự gia tăng số lượng gen có thể giúp ký sinh trùng phá vỡ các protein và xâm nhập vào vật chủ, cũng như thực tế rằng bộ gen có nhiều chỗ lặp đi lặp lại.
Tuy nhiên cũng theo Hayley Bennet họ đã so sánh loài ký sinh trùng này với các loài giun, sán tương tự và họ
có thể sớm tìm ra loài thuốc đặc trị cho việc ngăn cản chúng ''phá hủy'' bộ não con người.
Khánh Huy (Theo CNN)















Bình luận