Bé Feifei, 8 tuổi, đến từ Quảng Đông, miền nam Trung Quốc, có thói quen nhổ tóc và ăn nó từ năm lên 2 tuổi. Mẹ bé cố gắng ngăn cấm nhưng Feifei vẫn không từ bỏ được thói quen đó. Cho đến đầu tháng 2 vừa qua, Feifei bị nôn mửa và đau bụng dữ dội. Mẹ của bé nhận thấy bụng của con gái mình sưng to liền nhanh chóng đưa bé đến bệnh viện.

Bụng của Feifei sưng rất to khi được đưa vào bệnh viện.
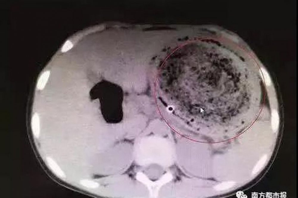
Tại đây, Feifei được rửa dạ dày nhưng bác sĩ không tìm thấy dư lượng thực phẩm nào mà là một búi tóc rối rất lớn cuộn với cặn thức ăn. Tuy nhiên, không thể loại bỏ được nó thông qua nội soi vì đã có dấu hiệu vôi hóa. Bác sĩ đã phải thực hiện phẫu thuật mổ dạ dày để có thể lấy búi tóc nặng đến gần 1,5kg ra khỏi bụng cô bé.
Mẹ của Feifei đã cố gắng ngăn con gái ăn tóc và nhắc nhở không cho tóc vào miệng. Cô bé hiện hồi phục và bắt đầu ăn thức ăn.
“Búi tóc ‘khổng lồ’ này đã có trong dạ dày bé gái nhiều năm. Thói quen ăn tóc là một triệu chứng điển hình của Pica - một chứng rối loạn ăn uống khiến người bệnh có xu hướng ăn các vật không có dinh dưỡng”, bác sĩ giải thích và nhắc nhở các bậc cha mẹ hãy để mắt đến những thứ mà con cái họ ăn.

Kết quả siêu âm cho thấy trong dạ dày của Feifei chứa một búi tóc lớn, cuộn rối với nhiều cặn thức ăn.
Hội chứng Pica là gì?
Pica là một hội chứng đặc trưng bởi sự thèm ăn đối với các chất không chứa nhiều chất dinh dưỡng, chẳng hạn như kem đánh răng, băng đá, tóc, giấy, thạch cao hoặc sơn, kim loại, đá hoặc đất....
Bệnh thường dẫn đến tình trạng nghiêm trọng, cần phẫu thuật khẩn cấp do tắc nghẽn đường ruột cũng như các triệu chứng phức tạp hơn như thiếu hụt dinh dưỡng và nhiễm ký sinh trùng.
Bệnh Pica được cho rằng có liên quan đến các rối loạn tâm thần và tình cảm khác. Các kích thích như chấn thương cảm xúc, thiếu thốn tình cảm, vấn đề gia đình, bị cha mẹ bỏ bê, những phụ nữ mang thai và gia đình tan vỡ có liên quan mật thiết đến Hội chứng Pica.
Nếu trẻ mắc phải hội chứng Pica là do sự mất cân bằng chất dinh dưỡng, ngoài việc đưa bé đến bác sĩ, bậc cha mẹ nên tự điều trị thêm bằng một số phương pháp như:
- Bố mẹ nên dành thời gian nói chuyện với trẻ nhiều hơn vì bỏ bê trẻ cũng là một nguyên nhân gây ra hội chứng này.
- Đặt những đồ vật không phải thức ăn mà bé muốn ăn vào trong tủ có khóa hoặc để ngoài tầm với của trẻ.
- Tránh những hành động tiêu cực như phạt trẻ khi trẻ muốn ăn những đồ vật không phải thức ăn.


Bình luận