Ngày 18/12, Sở Nông nghiệp và Phát triển Nông thôn Hà Nội (NN&PTNT Hà Nội) cùng các đơn vị liên quan tổ chức buổi hội thảo công bố kết quả xét nghiệm gen khẳng định con rùa cái được bẫy bắt vào tháng 10/2020 là loài Giải Sin-hoe (Rafetus swinhoei), hay còn gọi là rùa Hoàn Kiếm.
Theo ông Tạ Văn Sơn, Chi cục trưởng Thủy sản Hà Nội, ngày 22/10, cơ quan chức năng phối hợp với các chuyên gia bảo tồn đã bắt được một con rùa mai mềm ở hồ Đồng Mô (thị xã Sơn Tây, Hà Nội). Tổ công tác cùng các chuyên gia trong và ngoài nước thống nhất kiểm tra hình thái và lấy mẫu máu, mẫu mô.

Con rùa Hoàn Kiếm ở hồ Đồng Mô được bẫy bắt thành công và xác định giới tính. (Ảnh: ATP/ICM)
Kết quả xác định ban đầu cho thấy con rùa hồ Đồng Mô nặng 86kg, chiều dài mai 99,5cm, rộng mai 75,5cm.
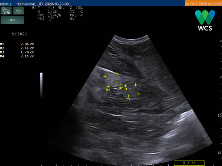
Các nhà khoa học cũng dùng máy siêu âm do các chuyên gia của Hiệp hội Bảo tồn động vật hoang dã (WCS) thực hiện để xác định giới tính và cho ra kết quả giống cái.
Để khẳng định chắc chắn con rùa ở hồ Đồng Mô cùng loài với cụ rùa hồ Gươm, các nhà khoa học đã lấy mẫu gửi đến hai phòng thí nghiệm là Viện Sinh thái và Tài nguyên sinh vật và Phòng Tài nguyên thiên nhiên và bảo tồn, Viện Tài nguyên và Môi trường, Đại học Quốc gia Hà Nội. Kết quả phân tích gen của cả 2 đơn vị đều cho một kết quả, kết luận mẫu phân tích 99,99% thuộc loài Giải Sin-hoe (rùa Hoàn Kiếm).

Cận cảnh đầu và vân rùa Hoàn Kiếm. (Ảnh: WCS Việt Nam)
Quỹ Bảo tồn rùa châu Á (IMC) cho biết, trên hồ Đồng Mô hiện có ít nhất hai con rùa vì đã phát hiện cả hai cùng nổi lên mặt nước tại một thời điểm và chụp được hình ảnh. Hôm 11/12, bộ phận thường trực của quỹ tại hồ Đồng Mô chụp ảnh một con rùa mai mềm, ước tính 130-150kg. Dự kiến, con này được bẫy, bắt xác định giới tính trong năm 2021. Trường hợp là con đực, nhà chức trách sẽ tạo khu bãi cát ở hồ để rùa có thể sinh sản tự nhiên.
Ngoài ra, còn một con rùa Hoàn Kiếm đã được phát hiện tại hồ Xuân Khanh (huyện Ba Vì). Dự kiến đến năm 2021, cơ quan chức năng sẽ bẫy, bắt nó để xác định loài và giới tính. Các đơn vị bảo tồn cũng đề xuất mở rộng vùng tìm kiếm rùa mai mềm ở các hồ lớn khác trên địa bàn như Suối Hai, Đồng Quan...

Máy siêu âm soi được nang trứng của rùa, khẳng định đây là con rùa cái. (Ảnh: WCS Việt Nam)
Ông Nguyễn Huy Đăng, Phó Giám đốc Sở NN&PTNT Hà Nội cho biết: “Sở NN&PTNT xác định đây là nhiệm vụ rất quan trọng, cần phải thực hiện hiệu quả. Sở NN&PTNT đã tham mưu với UBND thành phố để ban hành các văn bản chỉ đạo và phối hợp với các tổ chức quốc tế bước đầu thực hiện kế hoạch bảo tồn và phát triển các cá thể Giải sin-hoe. Sở NN&PTNT chỉ đạo Chi cục Thủy sản tiếp tục thực hiện Kế hoạch 200 của UBND TP Hà Nội để khôi phục và bảo tồn loài rùa mai mềm nguy cấp quý hiếm trong sách đỏ của Việt Nam và thế giới".
Theo kế hoạch bảo tồn rùa Hoàn Kiếm của UBND Hà Nội, giai đoạn 2021-2025 thành phố sẽ nghiên cứu đặc điểm sinh học, điều kiện tự nhiên, môi trường phù hợp làm căn cứ đề xuất ghép đôi sinh sản. Sau đó sẽ thực hiện các dự án bảo tồn, ghép đôi sinh sản loài rùa Hoàn Kiếm.



















Bình luận