
Thủng ruột non, chảy mủ trong ổ bụng vì nuốt phải thứ quen thuộc này
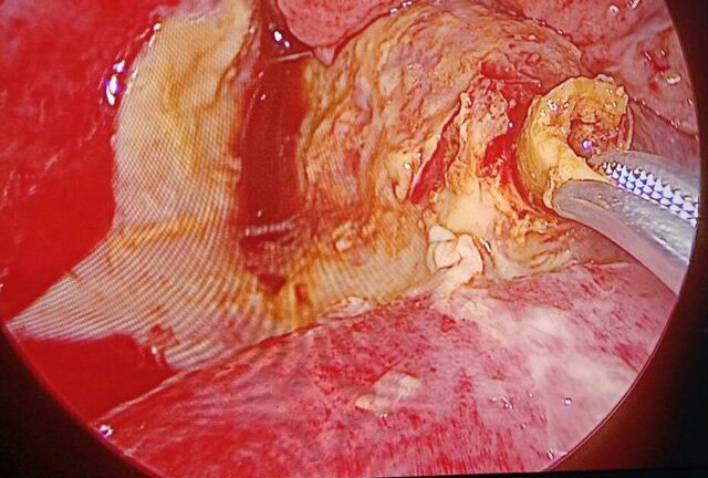
Một bệnh nhân bị thủng ruột non, gây nhiều dịch mủ trong ổ bụng do nuốt phải xương gà được Bệnh viện Xanh pôn cứu sống.

Một bệnh nhân bị thủng ruột non, gây nhiều dịch mủ trong ổ bụng do nuốt phải xương gà được Bệnh viện Xanh pôn cứu sống.