
Nam thanh niên 21 tuổi bị đột quỵ
Nam thanh niên 21 tuổi nhập viện trong tình trạng liệt nửa người, nhờ can thiệp lấy huyết khối trong “giờ vàng”, đã hồi phục hoàn toàn chỉ sau vài ngày.

Nam thanh niên 21 tuổi nhập viện trong tình trạng liệt nửa người, nhờ can thiệp lấy huyết khối trong “giờ vàng”, đã hồi phục hoàn toàn chỉ sau vài ngày.

Trong thời gian du lịch tại Việt Nam, ông O.P (75 tuổi, người Pháp) lên cơn nhồi máu cơ tim cấp, được y bác sĩ tại Bệnh viện Thành phố Thủ Đức cấp cứu kịp thời.

Nhồi máu cơ tim cấp từng được coi là bệnh lý chủ yếu xuất hiện ở người cao tuổi, nay đang dần có xu hướng trẻ hóa.

Đang chuẩn bị ngủ, người đàn ông bất ngờ đau tức dữ dội vùng ngực trái, được bác sĩ chẩn đoán nhồi máu cơ tim cấp.

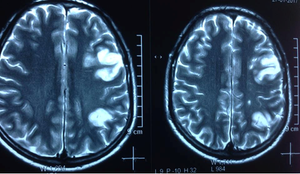
Lãnh đạo Bệnh viện Đa khoa Tâm Trí Nha Trang (Khánh Hòa) cho biết, bệnh viện vừa phát hiện một bệnh nhân bị nhồi máu đa ổ vùng bán cầu não trái, đây là loại bệnh rất hiếm gặp.

Bệnh tim là một trong những nguyên nhân gây tử vong hàng đầu ở phụ nữ. Biết những dấu hiệu của nhồi máu cơ tim có thể ngăn ngừa những hệ lụy đáng tiếc xảy ra.