Nam bệnh nhân là Nguyễn Ngọc L., 33 tuổi, ở phường Phước Hải, TP. Nha Trang, được cấp cứu đến bệnh viện hôm 25-1 trong tình trạng hôn mê. Mạch 63 lần/ phút, nhiệt độ: 37 0 C, Huyết áp: 120/80 mmHg, nhịp thở 20 lần/ phút, đường huyết: 6,7mmol/l. Tim phổi không âm bệnh lý, bụng mềm, gan lách không lớn.
Bác sĩ chuyên khoa thần kinh khám, bệnh nhân gọi không trả lời, cấu véo biết đau, cổ cứng (-+), Kernig(-+). Glasgow : 12 điểm, yếu nửa người bên phải, nhưng còn cảm giác đau khi sờ chạm bên phải…

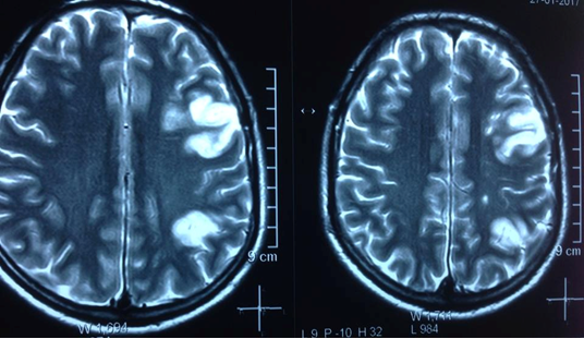
Hình ảnh chụp sọ não của bệnh nhân
Đáng chú ý là tiền sử sức khỏe của bệnh nhân bình thường, trước đó, bệnh nhân đã từng đến một cơ sở y tế lớn tại Khánh Hòa, nhưng chưa phát hiện cụ thể bệnh tình. Khi trở về nhà, bệnh nhân bị bất tỉnh, chỉ đến lúc cấp cứu vào Bệnh viện Tâm Trí mới phát hiện: Bệnh nhân bị nhồi máu đa ổ vùng bán cầu não trái.
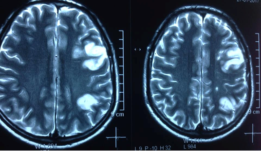
Chụp MRI sọ não cũng cho kết quả: nhồi máu bán cầu đại não trái, kèm xuất huyết vỏ não thùy trán trái. Sau hội chẩn, các bác sĩ thống nhất kết luận: Bệnh nhân bị nhồi máu não đa ổ bán cầu não trái (nghi bệnh lý Moya – Moya).

Hình ảnh sọ não nghi là mắc bệnh Moya Moya
Đây là căn bệnh mà các cơ sở y tế ở Khánh Hòa rất ít gặp, thậm chí rất hiếm. Sau khi phát hiện bệnh, bệnh nhân được chăm sóc và điều trị tích cực. Đồng thời, các bác sĩ Bệnh viện Tâm Trí tư vấn cho người nhà chuyển bệnh nhân vào TP.HCM để thuận tiện cho công tác điều trị kỹ thuật cao.
Video: 9 sự thật về não bộ của bạn


Bình luận