
Phổi đông đặc sau 20 ngày khỏi COVID-19 0
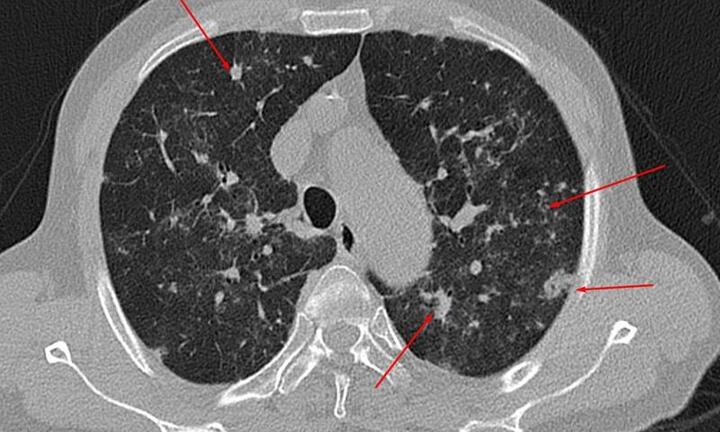
Sau khi âm tính với SARS-CoV-2, người đàn ông tiếp tục có những triệu chứng của COVID-19 và phải nhập viện điều trị.

Sau khi âm tính với SARS-CoV-2, người đàn ông tiếp tục có những triệu chứng của COVID-19 và phải nhập viện điều trị.

Theo thống kê của Bộ Y tế, Hà Nội đang điều trị cho 549 bệnh nhân Covid-19 diễn biến nặng, nguy kịch.

Tùy thuộc vào tình trạng bệnh nền, mỗi người dân mắc COVID-19 sẽ có mức chi trả khác nhau khi điều trị tại bệnh viện.

Theo Bộ trưởng Y tế, các địa phương có thể thực hiện gộp mẫu làm xét nghiệm kháng nguyên nhanh và rRT-PCR phù hợp với tình hình thực tế.

Thai phụ nhiễm nCoV di chuyển bằng xe máy từ Bình Dương ra Nghệ An và bất ngờ chuyển dạ dọc đường đã hạ sinh con.

Qua sàng lọc, ngành Y tế Khánh Hòa yêu cầu 2 khách sạn ở TP Nha Trang cách ly 168 người có tiếp xúc gần với hai vợ chồng du khách người Trung Quốc nhiễm nCoV.

Hai vợ chồng du khách người Trung Quốc nhiễm nCoV đến TP Nha Trang (Khánh Hòa) đã tiếp xúc hơn 250 người trong thời gian lưu trú và đi trên máy bay.