Trường hợp này là bệnh nhân nam, 65 tuổi, trú tại Phú Thọ. 20 ngày sau khi khỏi COVID-19, ông xuất hiện tình trạng ho có đờm, khó thở về đêm, mệt mỏi và ăn uống kém.
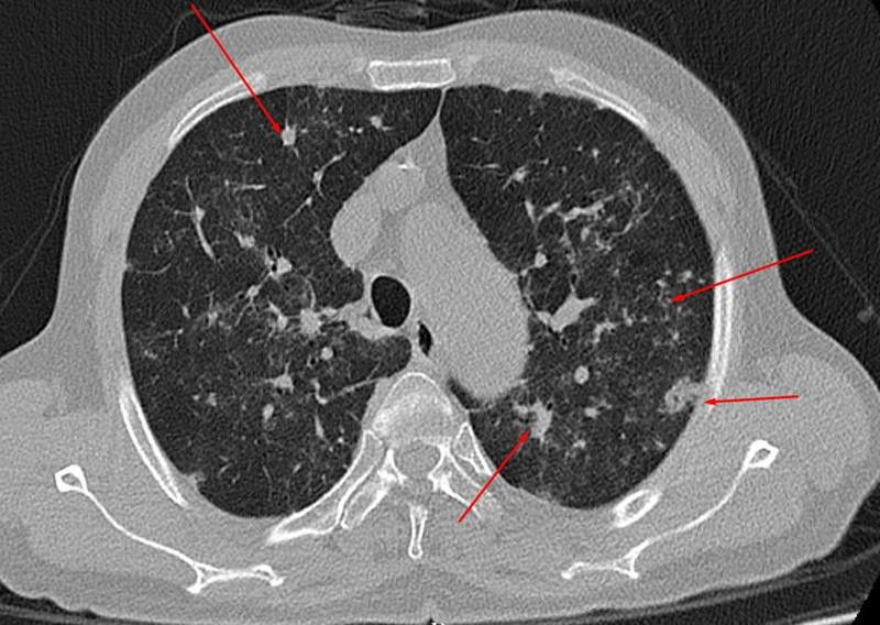
Sau khi tới khám hậu COVID-19 tại một bệnh viện ở Phú Thọ, ông nhận kết quả chụp CT lồng ngực cho hình ảnh phổi đông đặc, tổn thương lan tỏa 2 bên.
Ngay sau đó, bệnh nhân này được chỉ định nhập viện và hiện điều trị tại khoa Nội.

Hình ảnh chụp CT lồng ngực của bệnh nhân sau khi khỏi Covid-19. (Ảnh: BVCC)
Trước đó, người đàn ông này cho biết trong thời gian mắc COVID-19 chỉ có các triệu chứng nhẹ, khỏi bệnh nhanh. Tuy nhiên, di chứng hậu COVID-19 ở phổi của trường hợp này rất nặng.
Từ đây, bác sĩ khuyến cáo F0 sau khi khỏi bệnh nên đi khám hậu COVID-19 sớm để dự phòng các nguy cơ cũng như đưa ra hướng điều trị phù hợp, kịp thời.
Một số nhóm cần đặc biệt lưu ý và khám hậu COVID-19 sớm là người có bệnh nền, cao tuổi (từ 60 tuổi trở lên), trường hợp phải nhập viện khi nhiễm SARS-CoV-2, có triệu chứng ho, tức ngực, khó thở, đau đầu,... sau khi khỏi bệnh.















Bình luận