
Đến viện khám chân, cụ ông choáng váng khi biết não mất một phần
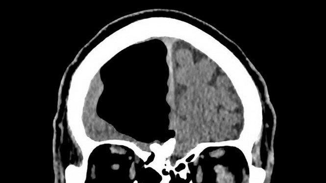
Cụ ông ở Bắc Ireland không khỏi choáng váng khi hay tin thùy não phải của mình hoàn toàn trống không.

Cụ ông ở Bắc Ireland không khỏi choáng váng khi hay tin thùy não phải của mình hoàn toàn trống không.