Cụ ông 84 tuổi đến từ Bắc Ireland tới bệnh viện kiểm tra sau khi thấy sức khỏe giảm sút, thường xuyên bị ngã và tay, chân trái yếu đi rõ rệt trong khi các kết quả xét nghệm máu đều không có gì bất thường.
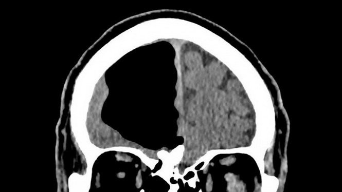
Cho tới khi ông đi chụp CT và MRI não, các bác sỹ mới phát hiện ra khoảng trống bất thường ở thùy não phải. Bác sĩ Finlay Brown thuộc khoa cấp cứu Bệnh viện Causeway và các đồng nghiệp đặt nghi vấn cho rằng cụ ông từng trải qua phẫu thuật não hoặc bị dị tật từ khi còn nhỏ, nhưng ông phủ nhận.

Khoảng trống trong thùy não phải của bệnh nhân.
Các bác sỹ vì vậy chuyển sang hướng khác, họ nghi ngờ bệnh nhân có thể mắc chứng neumocephalus, hiện tượng tụ khí trong não. Thông thường neumocephalus sẽ xảy ra sau các ca phẫu thuật não, nhưng cũng có vài trường hợp ngoại lệ khi bệnh nhân bị nhiễm trùng xoang, chấn thương đầu hoặc mặt.
Tuy nhiên, túi khí thường nhỏ và không to như lỗ hổng rộng tới 8,9 cm trong não phải của cụ ông Bắc Ireland. Kết quả chụp MRI cho thấy lỗ hổng này được hình thành từ một khối u xương lành tính.
Vị trí đặc biệt của khối u tạo thành một khoảng trống bên trong hộp sọ. Qua thời gian, những lần ho, hắt hơi của bệnh nhân sẽ đẩy một lượng khí nhỏ vào trong và ngày càng nới rộng lỗ hổng.
Video: Làm việc quá sức, bác sỹ mổ nhầm não bệnh nhân
Bác sỹ Brown khuyên bệnh nhân nên phẫu thuật giải nén túi khí và sau đó là loại bỏ khối u. Tuy nhiên, cụ ông 84 tuổi từ chối vì cho rằng khó có thể trụ được sau 2 ca phẫu thuật.
Các bác sỹ vì vậy phải kê cho ông một đơn thuốc để tránh đột quỵ, nhưng yêu cầu bệnh nhân thường xuyên đến bệnh viện để kiểm tra vì uống thuốc chỉ là giải pháp tạm thời.












Bình luận