
Chàng trai ‘không não’ nhưng vẫn sống khỏe suốt 20 năm một cách kỳ lạ
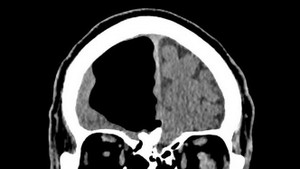
Carlos gần như mất hẳn hơn nửa phần não bộ nhưng vẫn sống khỏe mạnh một cách lạ kỳ.

Carlos gần như mất hẳn hơn nửa phần não bộ nhưng vẫn sống khỏe mạnh một cách lạ kỳ.

Cụ ông ở Bắc Ireland không khỏi choáng váng khi hay tin thùy não phải của mình hoàn toàn trống không.