
Người đàn bà bị giun chui vào não
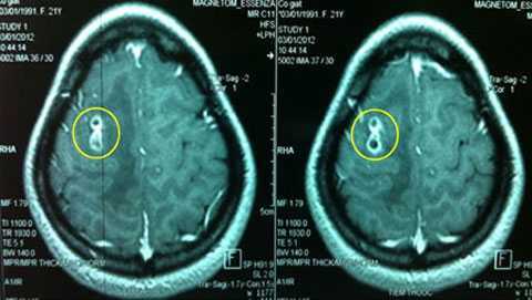
Chị Lan Hương, 25 tuổi (trú tại huyện Tiền Hải, tỉnh Thái Bình) bị tổn thương não nhưng không phải do khối u mà là do giun đũa chó gây nên.

Chị Lan Hương, 25 tuổi (trú tại huyện Tiền Hải, tỉnh Thái Bình) bị tổn thương não nhưng không phải do khối u mà là do giun đũa chó gây nên.