Vài tháng gần đây, chị Lan Hương, 25 tuổi (trú tại huyện Tiền Hải, tỉnh Thái Bình) xuất hiện các cơn đau vùng đỉnh đầu tăng dần, kèm theo có sốt nhẹ.
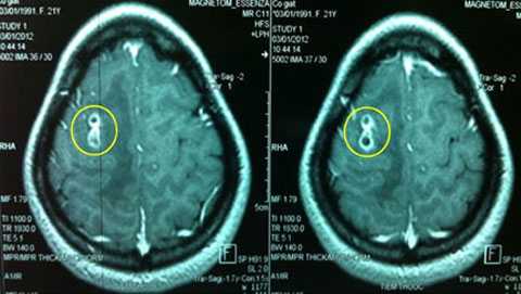
Chị Lan Hương đã vào BV Bạch Mai khám. Kết quả chụp MRI (cộng hưởng từ) sọ não và làm các xét nghiệm cho thấy não bị tổn thương nhưng không phải do khối u mà là do giun đũa chó gây nên.
Dễ nhầm với khối u di căn
PGS.TS Nguyễn Văn Đề - Chủ nhiệm bộ môn Ký sinh trùng (ĐH Y Hà Nội) cho biết, chó, mèo là vật nuôi có nhiều ký sinh trùng gây bệnh đối với sức khỏe con người. Trong đó, loại giun đũa chó là đáng ngại nhất. Giun đũa chó có tên khoa học là Toxocara, là loại ký sinh trùng hình ống dài giống như giun đũa ở người, nhưng nhỏ hơn.
![]() |
| Hình ảnh chụp MRI của bệnh nhân Lan Hương (ảnh do bác sỹ cung cấp) |
Ở một số người có thể có triệu chứng như mệt mỏi, ăn không ngon, đau bụng âm ỉ, sốt nhẹ, ngứa nổi mẩn… Song cũng có trường hợp không có biểu hiện triệu chứng gì mặc dù có huyết thanh dương tính với giun đũa chó. Đã có nhiều trường hợp ấu trùng giun đũa chó vào não gây nhiều triệu chứng thần kinh khiến thầy thuốc dễ nhầm với bệnh của hệ thống thần kinh hay do nguyên nhân khác gây nên tại não hoặc bị dị ứng kéo dài mà không xác định được nguyên nhân.
ThS. Nguyễn Thế Thu - Trung tâm Y học hạt nhân và Ung bướu (BV Bạch Mai) cho biết, nhiễm giun đũa chó gây nhiều bệnh nguy hiểm. Thông thường, giun đũa hoặc trứng giun đũa hiện diện trong phân chó, dính trên lông, khi được vuốt ve, trứng giun theo lông chó bám vào tay người, qua đường ăn uống xuyên qua thành ruột, vào máu và đi khắp cơ thể.
Tùy vào vị trí trú ngụ mà ấu trùng giun chó, mèo có thể gây các biểu hiện về nội tạng, về mắt, thần kinh… với những bệnh khác nhau:
- Thể ấu trùng di chuyển nội tạng: Gây sốt, gan to và bị hoại tử, lách to, triệu chứng hô hấp giống như hen suyễn, bạch cầu ái toan tăng (tỷ lệ có thể đến 70%)… Ngoài ra có thể gặp viêm cơ tim, viêm thận, tổn thương hệ thần kinh trung ương với các triệu chứng co giật, triệu chứng tâm thần kinh.
- Thể ấu trùng di chuyển ở mắt: Gây giảm thị lực, đôi khi bị lé mắt, nặng có thể dẫn đến mù loà.
- Thể “thần kinh”: Gây bệnh ở hệ thần kinh trung ương (sa sút trí tuệ, viêm tuỷ, viêm não - màng não, viêm mạch máu não, động kinh hay viêm dây thần kinh thị giác) hoặc ở thần kinh ngoại biên (viêm rễ thần kinh, gây tổn thương các dây thần kinh sọ hay thần kinh cơ - xương).
Cần tắm rửa thú nuôi thường xuyên
Theo ThS. Nguyễn Thế Thu, bệnh do giun đũa chó có thể chữa khỏi hoàn toàn khi được khám, xét nghiệm, điều trị tại các phòng khám chuyên khoa. Hiện tại có rất nhiều loại thuốc trên thị trường có hiệu quả với bệnh giun đũa chó, mèo như: Albendazole 400 mg x 2 lần/ngày, uống trong 5 ngày; Mebendazole 100-200 mg x 2 lần/ngày, uống trong 5 ngày. Đồng thời, có thể kết hợp với Corticoid để chống viêm; Thiabendazole 25mg/kg cân nặng, 2 lần/ngày trong 21 ngày…
PGS.TS Nguyễn Văn Đề khuyến cáo, trẻ em là đối tượng dễ nhiễm bệnh nhất do thói quen đùa nghịch với đất cát, mà đất cát lại là nơi phát tán trứng giun do đặc tính phóng uế bừa bãi của chó, mèo. Không chỉ chó, mèo thả rông mà cả chó, mèo cảnh đã được tắm rửa sạch sẽ cũng không loại trừ các loại ký sinh trùng gây bệnh.
Trên cơ thể của các thú nuôi thường có bọ, ve, ghẻ cư trú nên việc ôm ấp sẽ khiến những con bọ nhảy sang người và gây bệnh. Lông chó, mèo còn là thủ phạm kích thích các cơn hen ở trẻ nhỏ.
Những người nuôi chó, mèo cần lưu ý:
*Nên
- Tắm rửa thú nuôi thường xuyên, từ 1-2 lần/tuần, bằng loại dầu tắm riêng để loại bỏ trứng giun bám vào lông.
- Tiêm phòng đầy đủ các loại vaccine từ khi chúng được 2 tháng tuổi.
- Tẩy giun sán định kỳ 3-6 tháng/lần, tiêm ngừa bệnh và kiểm tra sức khoẻ thường xuyên ở các phòng khám thú y.
- Nơi ngủ của chó cần phải cách ly với người và phải được dọn sạch sẽ hằng ngày.
- Phân chó, mèo phải được chôn lấp hay bỏ vào túi và vứt bỏ vào thùng rác.
- Thường xuyên rửa tay với xà phòng sau khi chơi đùa với chó, mèo, sau khi nghịch đất cát và trước khi ăn uống, thậm chí phải thay quần áo sau khi chơi đùa, chăm sóc vật nuôi.
- Khi vật nuôi có các biểu hiện bệnh như lông rụng vung vãi, con vật ngứa ngáy, dụi người vào tường để gãi hoặc có những dấu hiệu bất thường như bỏ ăn, ủ rũ… cần đưa đến phòng khám thú y.
*Không nên:
- Cho thú nuôi ăn thịt sống.
- Cho trẻ chơi đùa nơi có chó, mèo thải phân.
- Ôm hôn, âu yếm hay ngủ, ăn uống chung với thú nuôi vì sẽ làm tăng nguy cơ nhiễm bệnh.
- Cho trẻ em chơi bò dưới đất, mút tay khi trong nhà có nuôi chó, mèo. Tốt nhất nên cho trẻ chơi nơi không có chó, mèo lui tới.
- Rửa thật kỹ trái cây, rau sống trước khi ăn.
- Người già, trẻ dưới 5 tuổi, phụ nữ có thai, bệnh nhân suy giảm miễn dịch, ung thư, ghép tạng… dễ mắc bệnh từ thú nuôi và khi mắc bệnh thường nặng thì không nên tiếp xúc với chó, mèo nhiều.
- Dùng các hóa chất tẩy rửa mạnh khi tắm cho thú nuôi vì trên lông chúng có chất gây mượt lông phòng vệ tự nhiên cho vật nuôi.
Phương Thuận/Gia đình và Xã hội















