
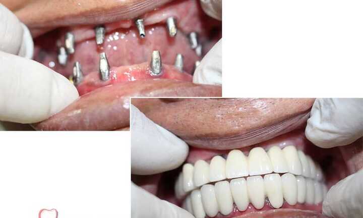
Dental Implant - Phương pháp trồng răng giả hiện đại
Dù ở hoàn cảnh nào thì tình trạng mất răng luôn là vấn đề gây khá nhiều khó khăn ở tất cả mọi người.

Dù ở hoàn cảnh nào thì tình trạng mất răng luôn là vấn đề gây khá nhiều khó khăn ở tất cả mọi người.