
Não của thanh thiếu niên có dấu hiệu lão hóa nhanh hơn sau đại dịch COVID-19
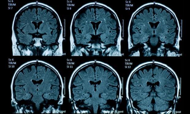
Nghiên cứu mới đây đã phát hiện ra rằng bộ não của những thanh thiếu niên trải qua đại dịch COVID-19 có dấu hiệu lão hóa sớm hơn.

Nghiên cứu mới đây đã phát hiện ra rằng bộ não của những thanh thiếu niên trải qua đại dịch COVID-19 có dấu hiệu lão hóa sớm hơn.