
Quấy khóc không chịu ngủ, bé 2 tháng tuổi bị cha làm xuất huyết não
Nửa đêm, con trai khóc mãi không chịu ngủ, người cha mất bình tĩnh bấm nhẹ vào vùng đầu khiến bé bị xuất huyết não.

Nửa đêm, con trai khóc mãi không chịu ngủ, người cha mất bình tĩnh bấm nhẹ vào vùng đầu khiến bé bị xuất huyết não.

Người mẹ nghi bị tâm thần đã dùng dao đâm nhiều nhát vào bụng khiến bé trai thủng 8 lỗ ở ruột, tình trạng rất nguy kịch.

Sau khi mổ thoát vị não và não úng thủy, hộp sọ của bé trai ngày càng biến dạng, ca phẫu thuật phải kéo dài 7 tiếng, lượng máu mất nhiều khiến bác sĩ gặp không ít khó khăn.

Trong lúc các chị em lấy súng bắn chim tự chế của cậu chơi đùa, nòng súng bất ngờ bóp cò khiến viên đạn bay thẳng vào đầu bé trai.

Khối u Sacroma mạch máu ở gan của bệnh nhi vô cùng hiếm gặp, chỉ chiếm 1-2% trong các loại u gan ác tính ở trẻ em, y văn thế giới hiện chỉ ghi nhận khoảng 50 trường hợp.

Nếu trẻ bị xoắn tinh hoàn nhưng cha mẹ không phát hiện sớm dễ khiến tinh hoàn bị hoại tử, bác sĩ buộc phải phẫu thuật cắt bỏ.

Đang chạy chơi trước cửa nhà, đứa bé bị điện giật bất tỉnh khi đạp trúng vũng nước nơi có cột đèn cha làm để chiếu sáng, người mẹ ra cứu con cũng bị giật theo.

Đồng hành cùng chương trình “Ngày hội thiếu nhi Pamper” – Jennifer luôn hào hứng chia sẽ những kinh nghiệm làm mẹ, kỹ năng chăm sóc con lúc đau ốm, đặc biệt là những lúc con bị bệnh phải lưu trú tại bệnh viện.

Bệnh viện Nhi đồng 2 là nơi duy nhất phía Nam tiến hành thành công 5 ca tách dính song sinh, 12 ca ghép gan và 16 ca ghép thận trên trẻ em.

Số bệnh nhi điều trị ho gà tại Bệnh viện Nhi đồng 2 (TP.HCM) đang tăng cao, trong tháng 2 có ngày tới 6 trẻ nhập viện, đến tháng 3 và tháng 4 đã tăng trung bình 15 – 16 ca và dự đoán sẽ còn tăng nữa trong thời gian sắp tới.

Bệnh viện Nhi Đồng 2 vừa tiếp nhận trường hợp hi hữu 2 trẻ cùng uống nhầm thuốc điều trị viêm khớp do chơi trò đóng giả bác sĩ – bệnh nhân.

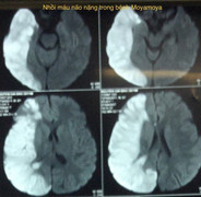
Thông tin bệnh viện Nhi đồng 2 cho biết, có hai bệnh nhi liên tục lên những cơn đau đầu, cha mẹ cho trẻ nhập viện điều trị nhưng không dứt điểm dẫn đến trẻ mang bệnh lý mạch máu não hiếm gặp.

Thông tin từ Bệnh viện Nhi Đồng 2 TP.HCM cho biết, đang tiếp nhận điều trị cho một bé gái bị tai nạn giao thông dẫn đến tổn thương não, hôn mê sâu.

Người dân gần khu vực bệnh viện cho biết, đứng sau việc người phụ nữ bế con xin tiền chích ma túy là cả một băng đảng, toàn những kẻ 'xăm trổ hổ báo' nên không ai dám báo công an.

Trước đó, tại TP. HCM đã có 3 trường hợp bệnh nhi tử vong do sốt xuất huyết sau khi được điều trị một thời gian tại bệnh viện.

Bé gái 19 tháng tuổi quê Bình Dương cấp cứu tại Bệnh viện Nhi đồng 2 (TP HCM) với cây đinh vít cắm sâu vào đầu.

Không đành lòng nhìn con trai ra đi bởi căn bệnh suy gan và bệnh lý teo đường mật bẩm sinh, mẹ của bé Gia Khiêm (10 tuổi) đã "chia" sự sống cho con bằng chính một lá gan bên trái của mình.

Bé được đưa lên khỏi miệng giếng cạn và đưa vào Bệnh viện Nhi đồng Đồng Nai, sau khi sơ cứu, chụp phim, cố định cột sống, bé được chuyển lên TP HCM.

Thời điểm vào mùa mưa, sản sinh ra nhiều muỗi là nguyên nhân chủ yếu gây ra bệnh sốt xuất huyết, gia đình cần đưa trẻ đến bệnh viện để xét nghiệm máu khi có dấu hiệu bệnh, vì tốc độ lây lan bệnh rất nhanh và có thể gây tử vong cao.

Đắk Lắk: Bé sơ sinh tử vong, người nhà bức xúc cho rằng bác sỹ đã chậm ký giấy chuyển viện.

Ngay từ lúc sinh ra, Bùi Minh Tiến đã phải chịu quá nhiều bất hạnh vì không may mang ngoại hình kỳ dị.

(VTC News) - Bé gái N.T.N 5 tuổi nhà ở Tân Bình, TP.HCM nhập viện bệnh viện Nhi đồng 2 với tình trạng chảy máu ở vùng kín.

(VTC News) - Đầu tháng trước rộ lên thông tin rắn lục đuôi đỏ cắn nhiều người ở Vĩnh Long, mới đây cháu bé 3 tuổi cũng bị rắn lục đuôi đỏ tấn công ở Bình Dương đã được cấp cứu tại viện Nhi đồng 2, TP.HCM.