Ngày 15/6, BSCKII Kiều Quốc Hiền – Trưởng khoa Phẫu thuật chấn thương chỉnh hình, Bệnh viện E cho biết, bệnh viện mới thay khớp háng nhân tạo toàn phần cho nam thanh niên (46 tuổi, ở Hà Nội) bị hoại tử chỏm xương đùi 2 bên giai đoạn cuối.
Người bệnh vào viện trong tình trạng đau khớp háng 2 bên, vận động đi lại khó khăn. Do người bệnh bị nhiễm HIV nên có tâm lý e ngại đến cơ sở y tế điều trị bệnh khiến tình trạng bệnh rất nghiêm trọng, ảnh hưởng tới quá trình vận động, thậm chí người bệnh còn phải… bò để di chuyển cơ thể.
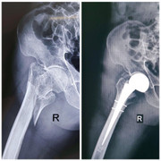
Kết quả chụp Xquang cho thấy, người bệnh bị hoại tử toàn bộ chỏm xương đùi 2 bên giai đoạn cuối. Các bác sĩ quyết định phẫu thuật thay khớp háng nhân tạo toàn phần cho người bệnh.
Ca mổ diễn ra trong 1 giờ, mặc dù kỹ thuật thay khớp háng nhân tạo toàn phần cho người bệnh không có sự khác biệt nào, song đối với người bệnh này, việc lấy ven rất khó nên các bác sĩ đã quyết định lấy ven tĩnh mạch trung ương để tiến hành dùng thuốc trong suốt quá trình mổ và sau mổ.

Bệnh nhân đang trong quá trình hồi phục sức khoẻ sau thay khớp háng. (Ảnh: BVCC)
Người bệnh đã tiến hành điều trị ARV (ARV là thuốc kháng HIV) cách đây 7 năm. Người bệnh đau khớp háng 2 bên khoảng 6 năm nhưng do tâm lý e ngại nên không đến cơ sở y tế nào điều trị, gần đây, bệnh đau tăng và ảnh hưởng đến việc vận động, đi lại khó khăn…
BSCKII Kiều Quốc Hiền phân tích, bệnh xảy ra ở người mắc bệnh truyền nhiễm, việc thay khớp háng nhân tạo toàn phần không gây ảnh hưởng đến khả năng lao động và sinh hoạt hàng ngày của người bệnh sau mổ, nhưng trong suốt thời gian còn lại của cuộc đời, người bệnh phải đối mặt với nhiều nguy cơ khác.
Theo nghiên cứu, hoại tử chỏm xương đùi bắt nguồn từ tổn thương mạch máu nuôi xương vùng chỏm xương đùi. Nguyên nhân dẫn đến tình trạng bệnh này vẫn chưa rõ ràng, tuy nhiên đối với những người có thói quen hút thuốc lá, bia rượu lâu năm… như người bệnh này thì nguy cơ cao hơn rất nhiều. Bệnh diễn biến âm thầm, ngày càng nặng lên, cuối cùng đau, mất chức năng khớp háng, bắt buộc phải thay khớp.

















Bình luận