Ngày 30/11, các bác sĩ khoa Nội Tổng hợp - Bệnh viện Đa khoa Hùng Vương cho biết, bệnh nhân đi khám vì đau đầu âm ỉ, mệt mỏi, chán ăn, sụt cân kéo dài. Kết quả chụp MRI sọ não phát hiện tổn thương dạng nang trong nhu mô não, dương tính với sán dây chó (Echinococus).
Các bác sĩ chẩn đoán cả hai bệnh nhân bị nang sán não (cerebral hydatid cysts) do sán dây chó (Echinococus).
Cả hai người chia sẻ có thói quen ăn tiết canh lâu năm. Hiện, người bệnh được dõi tại bệnh viện kết hợp dùng thuốc để giảm các nang sán.

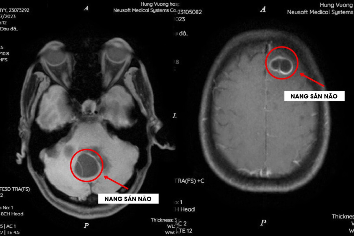
Hình ảnh sán làm tổ trong não của hai bệnh nhân. (Ảnh: BVCC)
Nang sán thần kinh (Cerebral hydatid cysts or neurohydatidosis) tỷ lệ khoảng 2-3%, thường do sán dây chó giai đoạn ấu trùng gây bệnh ở người. Nguồn lây bệnh thường qua việc ăn uống thực phẩm, nước bị nhiễm trứng sán, hoặc do tiếp xúc trực tiếp với chó và các động vật trung gian nhiễm bệnh.
Triệu chứng nhiễm sán giai đoạn đầu thường mệt mỏi, ăn kém. Khi nang sán phát triển to biểu hiện tuỳ phụ thuộc vào vị trí của u nang và kích thước của chúng sẽ xuất hiện triệu chứng đau đầu, nôn mửa, co giật do tăng áp lực nội sọ và chèn ép não.
Việc chẩn đoán bệnh sán não thường không dễ, cần đến khám chuyên khoa, vì có thể chẩn đoán nhầm với u nang nội sọ là tổn thương lành tính. Nếu không phát hiện sớm, chủ quan với nang sán có thể phát triển to và chèn ép não.
Đối với nang nhỏ chưa chèn ép não chỉ cần điều trị nội khoa, tẩy sán nhiều chu kỳ. Trường hợp kích thước nang to gây chèn ép não hoặc không đáp ứng với điều trị thuốc sẽ cần phẫu thuật.
Để phòng sán, các bác sĩ khuyến cáo nên thực hành vệ sinh tốt, tẩy giun, sán định kỳ cho vật nuôi, rửa tay sau khi tiếp xúc với vật nuôi, ăn chín uống sôi, tránh ăn các loại tiết canh có thể là nguồn chứa ấu trùng giun sán tiềm ẩn.

















Bình luận